NOTRE SOLUTION N°2 : LE "GOLD DAMAGE CONTROL" en mci
IMPLANTOLOGIE EN MISE EN CHARGE IMMÉDIATE
Notre protocole "GOLD Damage control"
NOTRE RÉPONSE URGENTE AU SOS LORSQUE VOS DENTS TOMBENT
POUR TENTER DE SAUVER VOTRE SOURIRE EN UNE INTERVENTION
UNE CHIRURGIE EN "ONE SHOT" SOUS ANESTHÉSIE GÉNÉRALE
Table des matières
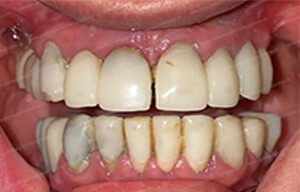
initiale
traitement
Notre résultat clinique
Notre résultat : Votre tout nouveau sourire en une seule intervention de pose d’implants et la délivrance des deux bridges implanto-portés résilient avec un cosmétique de type matériaux hyrbides ou composites, en Mise en Charge et esthétique Immédiate. Quelques jours seulement après la pose des implants, vous repartez avec des bridges provisoires fixes et esthétiques.
Reconstruction complète et immédiate :
Pour la mâchoire supérieure (maxillaire) : 10 implants supportent immédiatement un bridge esthétique. Cette prothèse s’étend de part et d’autre jusqu’aux molaires, grâce à des extensions qui compensent l’absence d’implants dans les zones les plus postérieures.
Pour la mâchoire inférieure (mandibule) : 8 implants soutiennent dès l’intervention un bridge fixe qui retrouve une fonction molaire complète, là encore par le jeu d’extensions maîtrisées.
Évolution vers la solution définitive :
Les images que vous voyez présentent le résultat après 6 à 12 mois de cicatrisation. À ce stade, les bridges résilients provisoires, avec un cosmétique en composite, sont remplacés par vos bridges définitifs implanto-portés, avec un cosmétique en céramique.
Ils sont transvissés ou scellés, sur les implants dentaires sur toute la longueur de la mâchoire, de prémolaire à prémolaire – ou même de molaire à molaire – et inclut des porte-à-faux postérieurs pour une fonction masticatrice optimale.
Avertissement
Même si nous affichons des résultats cliniques satisfaisants sur nos photos de présentation, ils ne peuvent en aucun cas être des promesses de succès similaires concernant votre propre situation clinique. Chaque personne est différente et les cas cliniques uniques.
" UN PROBLÉME SANS SOLUTION EST UN PROBLÈME MAL POSÉ "
ALBERT EINSTEIN
sauvetage de votre sourire grâce à notre protocole exclusif
Découvrez notre solution pour une reconstruction dentaire complète en une seule intervention. Conçu pour les situations d’urgence où la perte de vos dents menace votre qualité de vie et votre confiance, ce protocole restaure votre sourire et votre mastication grâce à des bridges « All on 10/8 » avec extensions postérieures, même en porte-à-faux.
Possible même en cas de résorption osseuse avancée, il ne nécessite aucune greffe osseuse pré-implantaire. Idéal pour les patients en situation critique, il offre un résultat quasi « ad integrum », une occlusion parfaite et une mise en charge immédiate : vous repartez avec un sourire fixe, naturel et fonctionnel en quelques jours après une seule chirurgie. Une solution rapide, durable et esthétique, même après des années de dégradation dentaire sévère.
C’est un protocole de pose d’implants en mise en charge immédiate de sauvetage de votre sourire et de votre mastication postérieure, au plus rapide, sans greffe osseuse pré-implantaire et cela, même si la résorption est importante au niveau des secteurs molaires.
Ce protocole de sauvetage grâce à la pose d’implants au plus rapide est réalisé selon le schéma opératoire suivant :
– La pose d’un nombre d’implants maximum et optimisé de prémolaire à prémolaire ou “All on 10” au maxillaire et “All on 8” à la mandibule.
– La réalisation de deux bridges complets implanto-portés de prémolaire à prémolaire, AVEC deux extensions aux extrémités du bridge, pour remplacer les premières molaires et même quelquefois les deuxièmes molaires.
C’est la forme la plus aboutie et extrême de notre protocole de sauvetage de votre sourire et de votre mastication postérieure, sans avoir à pratiquer des greffes osseuses pré-implantaires, en cas de gros délabrement de votre denture et de votre sourire.
Nous appelons notre solution chez Smile Designer le « Gold Damage Control MCI » ou quand le « Damage Control » rencontre le « Gold Standard » pour un résultat optimal.
– « Damage Control » : parce que notre protocole va permettre de contrôler les dommages que vos dents et votre sourire ont subi, trés rapidement en une intervention one shot.
– « Gold » : parce que ce protocole se rapproche le plus près de notre protocole numéro 1 de « restitutio ad integrum » de votre denture et de votre sourire : le « Gold Standard ». En effet, même si cette version de MCI nécessite deux extensions postérieures molaires au bridge implantoporté pour compléter l’arcade dentaire, elle permet une dispersion optimum des forces de mastication grâce à la pose d’un nombre maximum d’implants.
Notre protocole « Gold Damage Control MCI » permet une parfaite reconstruction de vos arcades dentaires, même dans l’urgence d’une désocialisation rapide, conséquence de la perte inéluctable de vos dents, associée à une grosse résorption osseuse postérieures des maxillaires, en particulier le supérieur.
Dans la technique « Gold Damage Control MCI », nous arrivons, malgré la résorption osseuse postérieure maxillaire (en particulier supérieure) à poser 10 implants au maxillaire supérieur.
C’est-à-dire 5 implants symétriques de chaque côté de la ligne sagittale médiane : ALL on 10.
La particularité de cette technique est que : le bridge implanto-porté, en mise en charge immédiate sur les implants posés, supporte une dernière molaire en extension, de chaque côté et à ses extrémités postérieures.
Certains cas clinique favorables permettent l’indication du « Gold Damage Control » en MCI :
L’indication permet de poser dix implants au maxillaire (cinq implants à gauche et cinq à droite) au lieu de six à huit implants seulement dans le cas du « Damage Control » ou « Domino surgeries ».
– Des dimensions du volume osseux disponibles nécessaires et suffisantes pour une pose d’implants en All on 10/8 ;
– Associées à une résorption modérée de l’os alvéolaire antérieur jusqu’aux régions prémolaires ;
– Une résorption des régions molaires interdisant un « Gold Standard ».
MAIS, il y a toujours avec une dent terminale postérieure en extension : la dernière molaire.
La configuration particulière de notre « Gold Damage Control » est une variante très favorables de notre « Damage Control MCI ».
Elle se rapproche intimement de notre « Gold Standard MCI ».
Puisqu’avec 10 implants au maxillaire et 8 implants à la mandibule, la reconstruction est quasi identique à une reconstruction totale « ad integrum », même si la dernière molaire est en extension et donc en porte-à-faux.
Cette variante est la plus aboutie et extrême du « Damage Control » MCI.
Elle permet non seulement une reconstruction immédiate de toute l’arcade, mais également un calage optimum de la morsure que l’on appelle « l’occlusion molaire parfaite ».
Ce type d’occlusion permet de bloquer la morsure en position molaire reculée (relation centrée) et protéger l’articulation temporo-mandibulaire ou ATM.
On retrouve donc, dans cette version de sauvetage immédiat de notre protocole MCI, tous les avantages du protocole le « Damage Control MCI » avec la plupart des avantages du protocole « Gold Standard MCI ».
Cette technique permet le remplacement des dents antérieures du maxillaire :
Grâce à une Mise en Charge Immédiate de 10 implants dentaires, par un bridge esthétique implanto-porté soutenu de prémolaire droite à prémolaire gauche, avec des extensions postérieures remplaçant :
- Les deuxièmes prémolaires
- Ou les premières molaires
- Ou bien quelques fois, les deuxièmes molaires.
Dans le cas d’une MCI mandibulaire :
Le remplacement de toutes les dents du maxillaire inférieur par des implants est réalisé grâce à la pose de 6 à 8 implants dentaires.
Leur Mise en Charge Immédiate est effectuée par une prothèse implanto-portée soutenue de prémolaire droite à prémolaire gauche, avec ou sans une extension postérieure prémolaire ou molaire.
L’ajout des extensions molaires aux extrémités du bridge permet un calage molaire même si ces dents ne sont pas soutenues par des piliers implantaires.
Les avantages
- Le plus gros avantage de notre solution est une reconstruction globale et immédiate quasiment à l’identique des arcades dentaires, lors d’une situation désespérée qui nécessite l’extraction rapide de la totalité des dents résiduelles, SANS avoir à pratiquer des greffes osseuses pré-implantaires de reconstruction des maxillaires ;
- Le deuxième plus gros avantage, corollaire du premier, est la quasi immédiateté de ce protocole, avec une resocialisation par un traitement extrêmement rapide des patients ;
- Il est quasiment aussi ESTHÉTIQUE que notre solution « Gold Standard », grâce a une intégration des dents en céramique de la prothèse dentaire (Bridge implanto-porté) dans un festonnage gingival reconstruit, grâce aux greffes osseuses et l’utilisation des concentrés plaquettaires comme le PRF ;
- Il remplace la totalité des dents de molaire droite à molaire gauche, mais avec une extension en porte-à-faux au niveau des molaires ;
- Il est extrêmement stable mécaniquement de par la multiplicité des fixations sur les implants dentaires qui permet une dispersion homothétique et harmonieuse des forces de mastication sur les structures métalliques et osseuses ;
- La puissance de la morsure est comparable à celle de la morsure naturelle ;
- Le calage occlusal est quasiment complet au niveau des molaires. Cela permet une parfaite mastication postérieure ;
- Il permet une très bonne stabilité du calage des articulations tempo-mandibulaires ou ATM. C’est-à-dire, les deux articulations de la mâchoire inférieure au niveau de la base du crâne, juste en avant des conduit auditif. Ce calage des articulations permet d’éviter des pathologies articulaires. En particulier, des luxations qui génèrent différents troubles résumés dans le Syndrome Algo-Dysfonctionnel de l’Appareil Manducateur ou SADAM ;
- Le confort qu’apporte la rapidité chirurgicale effectuée au bloc opératoire en une seule intervention : l’extraction des dents conjuguée à la pose des implants permet une reconstruction du sourire du patient et du minimum de sa fonction masticatrice le temps de la cicatrisation ;
- Le confort de la rapidité de la pose du bridge implanto-porté résiliant trois à quatre jours plus tard sous sédation légère au cabinet permet une resocialisation du patient en souffrance de traitement global ;
- La resocialisation du patient est quasi immédiate. En particulier pour des personnes stomatophobiques et dans la soufrance d’un sourire se dégradant très rapidement.
les inconvénients
- L’indication de ce protocole est assujetti à la disponibilité d’un os alvéolaire disponible implantable de volume suffisant. En particulier, dans les secteurs antérieurs et postérieurs des maxillaires jusqu’aux prémolaires ;
- L’intérêt principal de ce protocole est de justement pouvoir s’exonérer de faire des greffes osseuses pré-implantaires. Mais dans certains, cas il sera nécessaire de reconstruire préalablement l’os des mâchoires qui retient les dents afin de pouvoir poser un nombre maximum et optimisé d’implants dentaires ;
- Son coup élevé du fait de cette grande complexité technique ;
- Le coût élevé du plateau chirurgical. C’est-à-dire : les frais de bloc opératoire, d’anesthésiste et infirmier ;
- La nécessité de faire une extension de la prothèse implantaire en postérieur, avec toujours un risque de fracture ou de fatigue des matériaux et même de la structure osseuse à ce niveau ;
- Ne pas avoir une arcade complète en postérieur peut créer, chez certaines personnes, une sensation de « vide » et/ou des bourrages alimentaires postérieurs désagréables.
situation initial VS "Gold Damage control"
Découvrez NOS CAS CLINIQUES
même si votre cas est UNIQUE !
Visualisez nos reconstructions DU SOURIRE AVEC notre solution n°2 le "Gold Damage control" en MCI
Pourquoi avoir baptisé cette technique le "Gold Damage Control" ?
Le terme de « Damage control » est donné à notre solution de pose d’implants avec mise en charge immédiate. Il est issu du jargon de la Marine US qui décrit l’aptitude d’un navire fortement endommagé à gagner un haut-fond pour s’y échouer et ensuite être remis à flot après réparation.
Il se trouve que ce terme réunit les éléments essentiels, appliqués à la chirurgie implantaire en MCI, de nos solutions, numéro 2 : « Gold Damage Control MCI » et numéro 3 « Damage Control MCI », développées par Smile Designer.
Explications:
Il est très fréquent que des personnes soit dans une situation dentaire catastrophique parce que leurs dents sont soit d’ores et déjà perdues, soit condamnées à très court terme. De plus il est trés souvent observé que dans des cas de parodontite la résorption osseuse est trés avancée compliquant la pose des implants.
Dans ces situations défavorables peu de protocoles permettent une réparation à la fois immédiate et quasi « ad integrum ».
Selon un protocole opératoire classique, les chirurgiens implantologues commencent par extraire les dents avec éventuellement des greffes osseuses d’apposition ou de comblement des alvéoles. Puis, quatre mois plus tard, après la cicatrisation osseuse post extractionnelle, ils posent les implants.
Éventuellement, si la décision de remplacer immédiatement les dents extraites par des implants est prise, le plus souvent ces derniers sont mis en nourrice pendant plusieurs mois. C’est à dire qu’ils ne sont pas mis en charge, mais laissé dans l’os, avec une prothèse amovible transitoire (dentier).
Cette absence de Mise en Charge Immédiate est également fréquente lors de la pose d’implants après les quatre mois de cicatrisation post extractionnelle. Car l’os cicatriciel n’est pas un « os natif » propice à être implanté en MCI.
En conclusion :
Dans des cas défavorables, peu de protocole, hormis les techniques implantaires en MCI, permettent de remplacer toutes les dents du sourire par une prothèse esthétique en moins d’une semaine, avec une seule intervention chirurgicale, comme dans nos solutions techniques en « one shot » :
« Damage Control MCI » et « Gold Damage Control MCI »
Qui plus est, encore moins de protocole permettent, d’une part de réussir cette première restitution « ad integrum » de votre sourire et d’autre part, de restaurer la fonction de mastication des prémolaires, même avec de fortes résorptions osseuses postérieures, voir même les molaires dans certains cas cliniques favorables.
Grâce à notre protocole « Gold Damage Control MCI », nous arrivons à non seulement remplacer toutes les dents du sourire, mais également, à restaurer la fonction de mastication jusqu’au niveau des prémolaires, voir même des molaires.
Cette technique est réalisable en moins d’une semaine afin de répondre aux demandes de patients en détresse importante et urgente.
Même si la situation de résorption osseuse dans les secteurs postérieurs à créé une atrophie osseuse telle qu’il est impossible de mettre des implants, grâce à notre technique de Bridge implanto-porté avec des extensions postérieures, nous arrivons à sauver la situation occlusale et stabiliser le patient sur tous les plans fonctionnels et esthétiques.
LE FILM DE LA POSE DES "IMPLANTS EN MISE EN ESTHÉTIQUE ET EN CHARGE IMMÉDIATE"
UNE CHIRURGIE DE POSE D'IMPLANTS EN "MCI":
LA RIGUEUR DE LA MÉTHODE DE LA POSE D'IMPLANTS EN MCI BI-MAXILLAIRE
SOUS ANESTHÉSIE GÉNÉRALE
Avertissement : cette vidéo contient des images d’interventions chirurgicales qui peuvent heurter la sensibilité de certaines personnes.
QUELS SONT LES INGRÉDIENTS PRINCIPAUX DU PROTOCOLE "GOLD DAMAGE CONTROL" ?
Voici la recette de notre protocole « Gold Damage Control MCI » : Notre meilleure solution de réparation quasi « ad integrum » (retour à l’état normal après le dommage) des personnes en souffrance d’une réhabilitation totale de leur sourire. Une solution trés rapide et sans greffe osseuse pré-implantaire pour le sauvetage des personnes dans la souffrance d’un édentement et une réhabilitation urgente quasi totale de leur sourire.
Une Mise en Charge Immédiate de 10 implants au maxillaire et de 8 implants à la mandibule par un bridge complet MCI avec deux extensions de prémolaire à prémolaire ou de molaire à molaire dans le cas le plus favorable. Mais avec un appui postérieur prémolaire terminal optimisé, pour soutenir le bridge implants-porté et répartir les charges de mastication avec un minimum de porte à faux pour un gain de forces de mastication molaires maximum.
- LA POSE DE 10 IMPLANTS DENTAIRES MAXIMUM PAR ARCADE, EN REMPLACEMENT DÉFINITIF DES DENTS DU SOURIRE ÉLARGIES AUX PRÉMOLAIRES/MOLAIRES AVEC DES EXTENSIONS POSTÉRIEURES.
- POSER UN NOMBRE MAXIMUM D’IMPLANTS ANTÉRIEURS POUR RECRÉER LE FESTONNAGE GINGIVALE DU SOURIRE.
- APPORTER UNE TRAME COLLAGÉNIQUE GRÂCE AUX GREFFES OSSEUSES ALLOGÈNES ET XÉNOGÈNES.
APPORTER DES FACTEURS DE CROISSANCES TISSULAIRES CONTENUS DANS LES PLATELET-RICH FIBRIN AUTOLOGUES. - POSER, QUELQUE JOURS APRÉS L’INTERVENTION, LE BRIDE RÉSILIENT MCI AVEC UN HABILLAGE COSMÉTIQUE EN COMPOSITE.
- L’USINAGE CFAO EST FAITE À PARTIR D’UNE RECHERCHE OPTIMISÉ PAR L’ÉTUDE « SMILE DESIGN » ET LES TECHNOLOGIES NUMÉRIQUES CFAO.
- LE BRIDGE « GOLD DAMAGE CONTROL » MCI EST POSÉ 6 À 12 MOIS PLUS TARD AVEC UN HABILLAGE COSMÉTIQUE EN CÉRAMIQUE (qui remplace le bridge résilient, avec un habillage cosmétique en résine due type matériaux hybrides composites, transitoire durant la phase cicatricielle).
la planification numérique des interventions de pose d'implants en mCI
Chez Smile Designer, nos médecins-dentistes implantologues privilégient les protocoles de mise en charge immédiate, leur garantissant un contrôle maximal durant l’acte opératoire.
Nous ne sommes pas, pour autant, étranger aux protocoles de « planification implantaire » pré-opératoires avec des « guides chirurgicaux ».
La planification implantaire réalisée à partir du scanner CBCT du patient permet de fabriquer un « guide implantaire » utilisé en per-opératoire ou même une planification de la « navigation chirurgicale » per-opératoire.
Ce « plan de vol » ou ce guide physique, réalisé avant l’intervention, permet d’aider le chirurgien à respecter « le cheminement chirurgicale » : c’est à dire le positionnement et les axes des implants qui doivent parfaitement s’inscrire dans le « couloir prothétique », c’est-à-dire l’arcade dentaire prothétique qui remplace l’arcade dentaire naturelle.
Certain de nos implantologue connaissent fort bien ces techniques et ces solutions pour avoir même fait quelques videos sur ces sujets : vous avez dans ce site ci-dessous une série de films, consacrée à un système de navigation chirurgical digitalisé.
C’est un système de robotique informatisé qui permet, suite à l’acquisition d’un scanner et une planification informatique la pose des implants, de réaliser cette intervention avec un guide chirurgical digitalisé. Un radar guide la main du chirurgien sur l’écran d’ordinateur. Cela permet de vérifier que la position et l’axe des implants est bien conforme à la planification pré-opératoire.
Le principe directeur de nos solutions techniques est de compacter tous les actes chirurgicaux en une seule intervention :
Même si ces outils sont tout à fait intéressant (surtout pour l’époque car la technique est ancienne) l’habitude et l’expérience de nombreux protocoles ont amené nos chirurgiens à préférer les méthodes que nous décrivons.
C’est-à-dire que les extractions, la pose des implants, les greffes osseuses, les prélèvements sanguins pour la confection des concentrés plaquettaires, l’empreinte des implants pour faire les prothèses implanto-portées sont réalisées dans le même temps opératoire.
Or, comme il est très difficile de prévoir tous les aléas et cas de figure pour une seule interventions chirurgicale c’est encore plus vrai dans la cadre d’une cascade de gestes chirurgicaux.
Donc, même avec une planification informatique réalisée à partir du scanner nos implantologues considèrent « qu’on ne peut pas opérer un scanner ». Il y a souvent un impondérable opératoire, comme par exemple une situation qui est, sur le scanner pire ou même meilleure, que celle qui a été planifiée.
C’est-à-dire que « la liberté et la capacité d’adaptation immédiate du chirurgien à une situation non conforme pendant l’opération est prépondérante dans notre protocole » :
C’est pour cela que nous ne voulons pas être emprisonné dans un protocole opératoire d’ores et déjà planifié, soit par un guide physique, soit par une navigation assistée par l’ordinateur.
Nous privilégions les protocoles opératoires qui permettent de garder toute la liberté d’adaptation du chirurgien pendant l’intervention de façon à ce qu’il puisse optimiser la cascade d’interventions chirurgicales qui vont être réalisées, pendant le temps opératoire, sous anesthésie générale.
Bien évidemment cet avis n’engage que notre pratique.
Certains confrères talentueux sont beaucoup plus confortables avec ce type d’assistance lors des interventions chirurgicales.
Pour autant, même si nous nous exonérons des outils de guidage per-opératoire comme des guides implantaires physiques ou digitalisés, toutes nos interventions sont dûment planifiées sur un ordinateur grâce à des logiciels de planification implantaire :
Le reproche principale que nous faisons aux guides implantaires physiques ou digitaux est une difficulté à pouvoir s’adapter immédiatement en per-opératoire à tous les aléas qui ne sont pas repérables sur le scanner.
Cette « adaptation » immédiate et instinctive au cours d’une chirurgie est dans l’ADN du chirurgien.
Pour autant, elle à l’inconvénient d’être trop technico-dépendantre en fonction de l’expérience et de la formation de l’opérateur.
Car comme l’adage, dans le milieu de l’implantologie, le dit : « on n’opère pas un scanner »! Même si cet examen est totalement indispensable.
Planification chirurgicale :
l'indispensable marge de manœuvre de l'opérateur
Les contraintes peropératoires d’une programmation préalable avec des logiciels de planification implantaire et/ou de navigation chirurgicale.
Chez Smile Designer, la puissance de nos protocoles MCI est leur extrême plasticité qui permet au chirurgien de s’adapter aux particularités du patient et aux aléas de la chirurgie.
Nos chirurgiens implantologues ne s’exonèrent pas d’une programmation préalable de leur intervention avec des logiciels de planification implantaire.
Pour autant, les contraintes per opératoires d’une programmation préalable avec des logiciels de planification implantaire, par nature figée, laissent peu de liberté d’adaptation au chirurgien pendant l’intervention de pose des implants.
Chez Smile Designer, au contraire, tous nos protocoles MCI laissent toute la latitude nécessaire à nos chirurgiens pour exprimer leurs savoir faire et leur longue expérience. Ainsi, ils peuvent adapter la trame principale de nos protocoles MCI au cas clinique en cours d’intervention.
C’est-à-dire que lorsque qu’une situation opératoire difficile se produit en cours d’intervention qui ne pouvait pas être détectée préalablement lors de la simulation dans une logiciel de planification implantaire, grâce au scanner initial, le chirurgien doit pouvoir modifier son plan chirurgical. Exactement comme un pilote d’avion doit modifier son plan de vol lors d’une tempête inopinée.
Nos protocoles MCI s’adaptent à tous les cas cliniques et tous les gabarits :
Tous les patients n’ont pas le même gabarit. En conséquence, on n’opère pas une petite dame de 50 kg comme un grand gaillard de 100 kg.
Le volume de la mâchoire, sa dimension, la force de masticatrice sont différentes d’un cas clinique à l’autre. Dans certains cas, notre protocole de base va devoir être modifié comme par exemple en posant plus ou moins d’implants.
LE FILM D'UNE pose d'implants dentaires assistée par la navigation numérique
phase d'introduction à la pose d'implants dentaires avec la planification et la navigation chirurgicale assistée par la robotique numérique
Avertissement : cette vidéo contient des images d’interventions chirurgicales qui peuvent heurter la sensibilité de certaines personnes.
