NOTRE SOLUTION N°1 : LE "GOLD STANDARD" en mci
IMPLANTOLOGIE EN MISE EN CHARGE IMMÉDIATE
NOTRE SOLUTION N°1 : GOLD STANDARD
contre la perte de vos dents et une désocialisation
Reconstruisez votre sourire en une seule intervention une chirurgie en "one shot" SOUS ANESTHÉSIE GÉNÉRALE
Table des matières
initiale
traitement
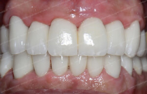
Notre résultat clinique
Votre tout nouveau sourire en une seule intervention de pose d’implants et la délivrance des deux bridges implanto-portés résilient avec un cosmétique de type composite, en Mise en Charge et esthétique Immédiate, quelques jours plus tard.
Notre résultat : Le remplacement de toutes les dents du maxillaire (10 implants) et de la mandibule (8 implants) grâce à une Mise en Charge Immédiate (MCI) des implants dentaires par une prothèse implanto-portée esthétique, soutenue de molaire à molaire, sans extensions aux extrémités postérieures.
Dans ces images : Le résultat après six à douze mois de cicatrisation. Les bridges résilients avec un cosmétique en composite sont remplacés par des bridges définitifs implanto-portés, avec un cosmétique en céramique. Ils sont transvissés ou scellés, sur les implants dentaires sur toute la longueur de la mâchoire, de molaire à molaire, sans aucun porte à faux postérieurs.
Avertissement
Même si nous affichons des résultats cliniques satisfaisants sur nos photos de présentation, ils ne peuvent en aucun cas être des promesses de succès similaires concernant votre propre situation clinique. Chaque personne est différente et les cas cliniques uniques.
" LES DÉTAILS FONT LA PERFECTION, ET LA PERFECTION N'EST PAS UN DÉTAIL "
LÉONARD DE VINCI
Pourquoi notre protocole "Gold standard" en MCI est optimal ?
Découvrez notre protocole le plus abouti avec les bridges implanto-portés "All on 10/8" sans extension pour une reconstruction totale de votre mastication et de votre sourire.
C’est un protocole de pose d’implants en mise en charge immédiate de reconstruction « ad integrum » de votre sourire et de votre mastication postérieure, au plus rapide, sans greffe osseuse pré-implantaire si la résorption n’est pas importante au niveau des secteurs molaires.
Cette « restitutio ad integrum » grâce à la pose d’implants dentaires, au plus rapide, est réalisée selon le schéma opératoire suivant :
- La pose d’un nombre d’implants maximum et optimisé, de molaire droite à molaire gauche ou « All on 10 » au maxillaire et « All on 8 » à la mandibule.
- La réalisation de deux bridges complets haut et bas de molaire droite à molaire gauche, sans extension quelques jours plus tard.
Cette solution de pose d’implants en mise en charge immédiate est le plus satisfaisant de nos protocoles, tant du point de vue de la mastication que de celui de l’esthétique du sourire. C’est pourquoi nous le désignons comme notre protocole de pose d’implant en mise en charge immédiate de référence.
A cet effet, nous le nommerons dans ce site le « Gold Standard MCI ».
A la fin du protocole, des bridges définitifs implanto-portés, avec un cosmétique en céramique, remplacent l’intégralité des dents naturelles de molaire droite à molaire gauche, sans extensions aux extrémités postérieurs, grâce à la pose d’un nombre optimum d’implants dentaires.
Au bout d’un an de cicatrisation, ces bridges céramiques définitifs remplacent les bridges implanto-portés résilient avec un cosmétique de type composite, en Mise en Charge et esthétique Immédiate. Ces derniers sont posés quelques jours après la chirurgie de pose de implants.
Le protocole commence avec la pose d’au plus dix implants au maxillaire et/ou huit à la mandibule, de molaire à molaire, suivit d’une mise en charge immédiate (ou MCI) par un ou deux Bridges Résilients avec un cosmétique de type composite.
Après six à douze mois de cicatrisation les bridges résilients avec un cosmétique de type composite (matériaux hybrides) sont remplacés par des bridges définitifs implanto-portés, avec un cosmétique en céramique. Ils sont transvissés ou scellés, sur les implants dentaires sur toute la longueur de la mâchoire, de molaire à molaire, sans aucun porte à faux postérieurs.
Dans notre gamme de protocoles de pose d’implants dentaires pour fixer un bridge complet implanto-porté en mise en charge immédiate qui remplace la totalité de l’arcade, celui-ci est le plus abouti. En effet, l’architecture finale de la la structure de reconstruction de l’arcade est entière. Puisque toutes les dents sont remplacées, à part les toutes dernières molaires sans extension prothétique en porte-à-faux.
C’est-à-dire que toutes les dents sont soutenus par des implants antérieurs est postérieurs avec une répartition des pressions masticatrices homogènes et harmonieuses permettant :
- Le soulagement des pressions exacerbées parasites sur les tissus osseux péri-implantaires ainsi que sur les structures en métal et en céramique.
- L’optimisation d’une mastication optimum ainsi que la calage et le soulagement des articulations temporaux mandibulaires (ATM) afin de prévenir un SADAM ou Syndrome Algo-Dysfonctionnel de l’Appareil Manducateur.
Il fait intervenir toutes les dernières technologies et techniques tant en chirurgie et biologie qu’en usinage numérique de prothèse en Conception et Fabrication Assistées par Ordinateur ou CFAO (i.e: CAD CAM).
Notre solution le « Gold standard MCI » est notre protocole le plus abouti en terme de reconstruction entière des arcades dentaires, dans notre gamme des bridges implanto-portés en Mise en Charge Immédiate.
En effet, il correspond à une restructuration des mâchoires qui tend le plus vers une « restitutio ad integrum ».
C’est à dire, une reconstruction au plus près de l’identique du naturelle et des plus exigeants désirs d’esthétique du sourire et de confort de mastication des patients.
Les avantages
- Il est le plus esthétique grâce à une intégration des dents en céramique de la prothèse dentaire (bridge implanto-porté) dans un festonnage gingival reconstruit, grâce aux greffes osseuses et d’utilisation du PRF;
- Il remplace la totalité des dents de molaire droite à molaire gauche sans extension en porte à faux ;
- Il est le plus stable mécaniquement de par la multiplicité des fixations sur les nombreux implants et une dispersion homothétique harmonieuse des pressions de la mastication ;
- La puissance de la morsure est comparable à la morsure naturelle ;
- Le calage occlusal est complet au niveau des molaires. Il permet une très bonne mastication postérieure ;
- Il permet une très bonne stabilité des Articulations Temporo Mandibulaire – ATM. C’est à dire, les deux articulations de la mandibule avec le crâne au niveau des conduits auditifs. Ce calage des ATM évite des pathologies dues à la luxation de ces articulations. Ces pathologies s’inscrivent dans le SADAM ;
- Le confort de la rapidité d’exécution chirurgicale au bloc opératoire en une seule intervention : extraction des dents, plus pose des implants, plus greffes osseuses en trois heures sous anesthésie générale en clinique ;
- Le confort de la rapidité de la pose du bridge implanto-porté résilient. Elle est effectuée 3 à 4 jours plus tard, sous sédation légère, au cabinet ;
- La resocialisation quasi immédiate des patients en souffrance alors que leur denture et leur sourire se dégrade rapidement.
les inconvénients
- L’indication de ce protocol est assujetti à la disponibilité d’un volume osseux implantable suffisant et en particulier, dans les secteurs postérieurs des maxillaires ;
- La pose d’un nombre suffisant d’implants, pour supporter ce bridge de grande étendu, implique le plus souvent de reconstruire préalablement l’os des mâchoires qui retient les dents (appelé os alvéolaire) grâce à des greffes osseuses pré-implantaires. En particulier, dans les régions postérieures du maxillaire supérieure avec des comblements de sinus (ou sinus lift) au niveau des molaires supérieures.
- Le recours à la cascade de chirurgies pré-implantaires pour reconstruire les maxillaires correspond à notre protocole appelé « Domino Surgery MCI ».
- Son coût élevé, du fait de sa très grande complexité technique.
- Un coût auquel s’ajoute les frais de bloc opératoire, d’anesthésiste et infirmier.
Comment notre protocole "Gold Standard" en MCI garantit une ostéointégration et une esthétique réussies ?
C’est une implantation immédiate post extractionnelle en « one shot », associée à une mise en charge immédiate d’implants par deux bridges de molaire à molaire, sans extension, ni porte à faux.
Le protocole « Gold Standard MCI » consiste à poser dix implants de molaire à molaire ou “All on 10” au maxillaire et huit implants de molaire à molaire ou “All on 8” à la mandibule, de façon à réaliser deux bridges complets implanto-portés haut et bas, avec un soutien implantaire au niveau postérieur de molaire à molaire, sans extension en porte à faux.
Les greffes osseuses de reconstruction de l’os alvéolaire maxillaire et la pose des implants dentaires se font au moment des extractions dentaires dans un protocole chirurgical en « one shot », sous anesthésie générale, que nous appelons « implantation immédiate post extractionnelle en one shot ».
Une « Mise en Charge Immédiate » des implants ou MCI :
Ce grand bridge implanto-porté esthétique de molaire à molaire est posé en Mise en Charge Immédiate (MCI). C’est à dire que votre nouveau sourire vous est livré en quelques jours seulement : la fabrication et la pose des bridges implants-portés résilient en MCI nécessite moins d’une semaine post opératoire.
Le principe conducteur de la mise en charge immédiate consiste à poser une prothèse dentaire (type bridge implanto-porté transvissé) immédiatement après la pose des implants dentaires.
L’intérêt biologique principal de la prothèse implanto-portée en MCI est de favoriser l’ostéointégration des implants.
En effet, elle immobilise tous les implants entre eux de façon rigide. C’est ainsi qu’elle favorise la cicatrisation osseuse autour des implants, appelé ostéo-intégration, grâce à la suppression des micro-mouvements implantaires de plus de 200 microns.
De plus, les dents prothétiques sont autant de guide tissulaire pour la cicatrisation gingivale.
La gencive se festonne naturellement autour des piliers prothétiques au cours de la cicatrisation, ce qui lui donne cette esthétique très naturelle.
C’est notre protocole le plus aboutie et le plus satisfaisant tant fonctionnellement qu’esthétiquement.
D’une part, la répartition des charges masticatrices est harmonieuse sur l’ensemble de l’arcade de molaire à molaire.
D’autre part, la cicatrisation de la gencive est optimale autour d’un nombre suffisant d’implants antérieurs et postérieurs.
situation initial VS "Gold standard"
Découvrez NOS CAS CLINIQUES
même si votre cas est UNIQUE !
Visualisez nos reconstructions DU SOURIRE AVEC notre solution n°1 le "Gold standard" en MCI
QUELS SONT LES INGRÉDIENTS PRINCIPAUX DE NOTRE PROTOCOLE IMPLANTAIRE "GOLD STANDARD" en MCI ?
Voici la recette de notre protocole « Gold Standard MCI » : Notre meilleure solution de réparation « ad integrum » (retour à l’état normal après le dommage) des personnes en souffrance d’une réhabilitation totale de leur sourire.
Une Mise en Charge Immédiate de 10 implants au maxillaire et de 8 implants à la mandibule par un bridge complet MCI SANS extensions de prémolaire à prémolaire ou de molaire à molaire, mais au contraire AVEC un appui postérieur molaire terminal, pour soutenir le bridge implants-porté et répartir les charges de mastication sans porte à faux.
- LA POSE DE 10 IMPLANTS DENTAIRES MAXIMUM PAR ARCADE, EN REMPLACEMENT DÉFINITIF DES DENTS DU SOURIRE ÉLARGIES AUX MOLAIRES SOUTENUES PAR DES IMPLANTS POSTÉRIEURS TERMINAUX.
- POSER UN NOMBRE MAXIMUM D’IMPLANTS ANTÉRIEURS POUR RECRÉER LE FESTONNAGE GINGIVALE DU SOURIRE.
- APPORTER UNE TRAME COLLAGÉNIQUE GRÂCE AUX GREFFES OSSEUSES ALLOGÈNES ET XÉNOGÈNES.
- APPORTER DES FACTEURS DE CROISSANCES TISSULAIRES CONTENUS DANS LES PLATELET-RICH FIBRIN AUTOLOGUES.
- POSER, QUELQUE JOURS APRÉS L’INTERVENTION, LE BRIDE RÉSILIENT MCI AVEC UN HABILLAGE COSMÉTIQUE EN COMPOSITE
- L’USINAGE CFAO EST FAITE À PARTIR D’UNE RECHERCHE OPTIMISÉ PAR L’ÉTUDE « SMILE DESIGN » ET LES TECHNOLOGIES NUMÉRIQUES CFAO.
- LE BRIDGE « GOLD STANDARD MCI EST POSÉ 6 À 12 MOIS PLUS TARD AVEC UN HABILLAGE COSMÉTIQUE EN CÉRAMIQUE (qui remplace le bridge résilient, avec un habillage cosmétique en résine composite, transitoire durant la phase cicatricielle).
LE FILM D'UNE CHIRURGIE “ALL ON 10” & “ALL ON 8”
LA RÉPARATION "AD INTEGRUM" DE VOTRE SOURIRE AVEC DEUX BRIDGES HAUT ET BAS SUR IMPLANTS EN MISE EN CHARGE IMMÉDIATE
Avertissement : cette vidéo contient des images d’interventions chirurgicales qui peuvent heurter la sensibilité de certaines personnes.
!!!!!!! Notre protocole de réparation complexe « ad integrum » appelé le « Domino Surgeries MCI » :
Une cascade de chirurgies réparatrices pour compenser les résorptions osseuses post extractionnelles.
Les résorptions osseuses post extractionnelles sont physiologiques et inéluctables.
L’atrophie de l’os des mâchoires qui en résulte, impose que la pose des implants soit associée, le plus souvent, à des greffes osseuses pré-implantaires.
L’utilisation des principes de la dentisterie régénérative avec les technique de concentrés plaquettaires comme les « membranes de aPRF » et des greffons osseux enrichis de iPRF (steaky bone) est systématique.
Dans les secteurs postérieurs molaires, l’atrophie de la crête osseuse due à la résorption naturelle post extractionnelle oblige, le plus souvent, à pratiquer des greffes osseuses intra sinusiennes, appelées comblement de sinus ou sinus lift.
Les implants utilisés sont des implants dentaires conventionnels spécialement conçus pour ce type d’intervention en Mise en Charge Immédiate par un bridge transvissé.
Nous distinguons deux temps prothétiques dans le protocole générale de Mise en Charge Immédiate par un bridge transvissé :
Un premier bridge dit « résilient » avec un habillage cosmétique en composite, conçu d’après le projet esthétique de Smile Design. Il est transvissé, en Mise en Charge immédiate quelques jours après l’intervention.
Un deuxième bridge avec un habillage cosmétique en céramique pourra remplacer cette première version après la maturation cicatricielle des tissus durs et mous. Il est également transvissé sur les implants après 6 à 12 mois de maturation tissulaire cicatricielle.
Tous deux sont des bridges transvissés. Ce vissage est possible grâce à l’extrême précision que leur confère leur conception et fabrication numérique.
L’armature métallique (ou zircone) des bridges est taillée dans un bloc de matériau métal ou zircone.
Ce dernier est usiné en CFAO (Conçu et Fabriqué avec l’Assistance de l’Ordinateur i.e: CAD CAM).
Ce protocole est celui dont le résultat s’approche le plus d’une reconstruction ad integrum grâce à un protocole de contrôle de la cicatrisation. C’est à dire une réparation intégrale des mâchoires avec une esthétique dentaire et gingivale optimisées.
