CAS CLINIQUE DE RAJEUNISSEMENT DU VISAGE SQUELETTIQUE
GRÂCE AU REHAUSSEMENT DE LA DIMENSION VERTICALE D’OCCLUSION – DVO
initiale
traitement
Table des matières
exemple DE CAS CLINIQUE DE RAJEUNISSEMENT DU VISAGE GRÂCE À L'HARMONISATION DU SOURIRE SQUELETTIQUE
POSITION DE LA MANDIBULE ET RESTRUCTURATION DE LA DENTURE
Histoire médicale de Corinne
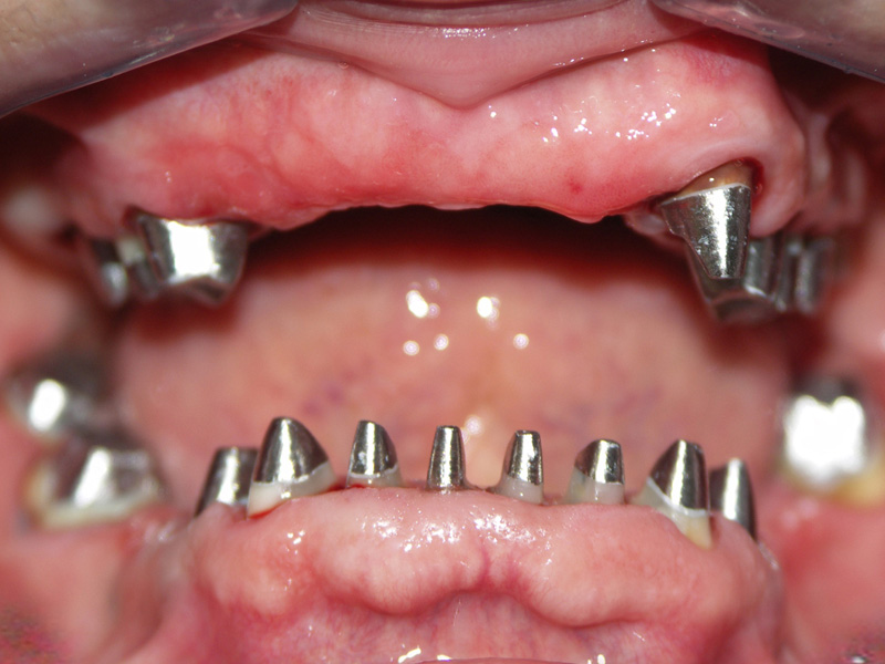
La patiente est arrivée partiellement édentée avec un appareil dentaire amovible sur la mâchoire supérieure.
La dimension verticale d’occlusion (DVO) est très diminuée du fait de l’absence partielle des dents et aussi de l’usure ou la destruction des dents encore sur l’arcade.
La conséquence de ces défauts est l’affaissement de la partie inférieure du visage et donc des tissus mous de la face.
Le choix thérapeutique
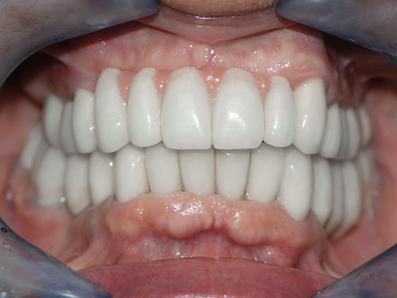
Le choix de la patiente s’est portée après proposition de plusieurs variantes de plan de traitement sur des techniques de restructuration de l’harmonie esthétique dentaire classiques, grâce à la pose de deux bridges céramiques complets, haut et bas.
La chirurgie implantaire a été récusée par la patiente.
Lors de la conception et la réalisation des deux bridges céramiques complets haut et bas, la hauteur des couronnes céramiques esthétiques a été étudiée pour corriger et augmenter la dimension verticale d’occlusion ou DVO. Une reconstruction partielle des gencives sur le bridge supérieur par de la céramique rose pour compenser la perte de gencive est à remarquer.
initiale
traitement
LA RESTRUCTURATION DE L'ESTHÉTIQUE DES DENTS du sourire
LA POSE de deux bridges COMPLETS HAUT ET BAS AVEC UNE COSMÉTIQUE EN céramique
Situation clinique initiale avant le rehaussement de la DVO
La série de photos suivantes présente la patiente à son arrivée au cabinet. Elle est partiellement édentée. Elle porte un appareil amovible pour remplacer les dents antérieures en haut et un deuxième appareil amovible pour remplacer les dents postérieures en bas.
Résultat clinique après le traitement prothétique et le rehaussement de la DVO
La série de photos suivantes présente la patiente en cours de traitement et à sa sortie du cabinet. La dimension verticale d’occlusion a été réhaussée correctement. Deux bridges complets en céramique ont remplacés les dents manquantes, restructurés le sourire et rajeunit l’aspect du visage.
LES TECHNIQUES DENTAIRES DE SMILE DESIGN AU SERVICE DE L'ESTHÉTIQUE DU VISAGE
LE RAJEUNISSEMENT DE L'EXPRESSION DU VISAGE ET DU SOURIRE
Pour démontrer les résultats de ce cas clinique de restructuration de la Dimension Verticale d’Occlusion deux séries de photographies avant et après traitement ont été parfaitement calibrées pour être totalement symétriques et homothétiques.
La première série de photographies avant et après traitement montre une différence énorme entre les deux expressions du visage : la photographie de droite a été prise après la fin du traitement et la pose de deux bridges complets sur les deux arcades dentaires (supérieure et inférieure). La photo de gauche est l’expression de la patiente à son arrivée au cabinet.
Deux photographies avant et après traitement ont été parfaitement calibrées pour être totalement symétriques et homothétiques.
A gauche : Le visage de la patiente AVANT la pose de prothèses dentaires céramiques.
A droite : Le visage de la patiente APRES la pose de prothèses dentaires céramiques Elles montrent une différence énorme entre les deux expressions du même visage alors que la photographie de droite a été prise bien après la photo de gauche, mais après la pose des deux bridges complets.
Les trois lignes jaunes supérieures démontrent la parfaite symétrie et le calibrage des photographies en alignant le milieu des yeux, la pointe du nez et la lèvre supérieure.
La quatrième ligne jaune en bas sur la photo de droite après traitement montre la nouvelle position du menton après la pose des deux bridges complets céramiques.
A droite: Le visage de la patiente, APRES la pose de prothèses dentaires céramiques, est plus long après la restructuration (allongement) de la Dimension Verticale d’Occlusion.
Cette nouvelle position est illustrée par la ligne jaune la plus basse. Les trois autres lignes jaunes servent à démontrer le parfait calibrage et symétrie des deux photographies avant et après.
La ligne rouge montre l’ancienne position du menton sur la photo de gauche avant traitement.
La ligne jaune la plus basse marque la nouvelle position du menton et donc de l’ensemble de la mâchoire inférieure, APRES traitement.
La différence entre la position de la ligne rouge et de la ligne jaune la plus inférieure correspond à la mesure de l’augmentation de la Dimension Verticale d’Occlusion.
A gauche: La ligne rouge montre l’ancienne position du menton AVANT traitement.
A droite: La quatrième ligne jaune en bas montre la nouvelle position du menton APRES la pose des deux bridge complets céramiques.
l'analyse des corrections de la dimension verticale
L’analyse en détail des corrections de la Dimension Verticale par deS prothèses dentaires en céramiques pour la restauration de l'harmonie esthétique de la denture, du sourire et du visage
Vue de face avant la pose de prothèses : en rouge
Vue de face après la pose de prothèses : en jaune
On note la récupération de l’ovale du visage (ovale shape) visualisée par la ligne jaune vs la ligne rouge, les sillons nasio-géniens sont moins marqués (Naso labial fold), les lèvres libérées ont retrouvées leur expression normales et les rides d’amertumes ont presque disparues, les bajoues ont quasiment disparues avec la restructuration de l’affaissement général. L’expression du visage est un rajeunissement sans l’apport de techniques autres que dentaires de restructuration de la dimension verticale d’occlusion (DVO).
Vue de profil avant la pose de prothèses : en rouge
Vue de profil après la pose de prothèses : en jaune
