MICROCHIRURGIE DES GENCIVES : LES GREFFES MUCO-GINGIVALES
LES GREFFES MUCO-GINGIVALES
analyses et traitements
des récessions gingivales
Les greffes muco-gingivales sont une chirurgie
dédiée aux racines dentaires mises à nu
ou aux implants dentaires mis à nu
le traitement consiste à faire des greffes gingivales
Table des matières
L’ANALYSE DU CONTOUR GINGIVAL DANS LES TRAITEMENTS DENTAIRES
L’analyse du contour gingival est essentielle pour harmoniser le sourire. Elle doit être réalisée à la fois sur le plan esthétique et sur le plan de la santé.
Cette analyse est indispensable. Elle précède l’établissement d’un plan de traitement global pour obtenir un bon résultat esthétique. Qu’il s’agisse d’une opération pour retirer un surplus de la gencive, ou pour en greffer lorsqu’elle fait défaut, il est important de penser au protocole de remodelage gingival.
La chirurgie muco-gingivale regroupe tous les traitements chirurgicaux qui concernent les lésions inesthétiques de la gencive comme les récessions gingivales. Ces protocoles sont ici étudiés en tant que stratégies dans l’élaboration d’un plan de traitement visant à réhabiliter le sourire.
LES OBJECTIFS DE LA MICROCHIRURGIE MUCO-GINGIVALE
Le chirurgien-dentiste prélève de la gencive du palais du patient pour la greffer sur la zone de récession de la gencive. Ce prélèvement peut également être translaté depuis un site donneur.
Les objectifs de la micro-chirurgie muco-gingivale sont les suivants :
- Stopper la progression des récessions gingivales ;
- Recouvrir une racine dénudée ;
- Réduire l’hypersensibilité dentaire due à l’exposition de la dent ;
- Améliorer l’esthétique du sourire ;
- Apporter en prévention de la gencive kératinisée dans le cas où une prothèse ou un traitement orthodontique est planifié.
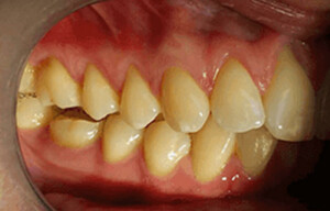
les récessions gingivales
La récession gingivale (ou dénudation radiculaire) est une modification de la gencive au niveau du collet de la dent. Il s’agit d’une rétraction gingivale et osseuse qui laisse la racine dentaire à nu.
La récession gingivale est parfois combinée à une poche parodontale infectieuse, ce qui peut compliquer la situation.
Qu'est qu'une récession gingivale ?
La récession apparaît le plus souvent par combinaison d’un terrain prédisposé (biotype fin, os mince, manque de gencive kératinisée) et d’un facteur déclenchant (brossage traumatique, inflammation, contraintes).
Le traitement vise à corriger les déclencheurs et, si nécessaire, renforcer le terrain par une chirurgie muco-gingivale adaptée (souvent optimisée par le PRF).
L’étiologie des récessions parodontales
L’étiologie des récessions des gencives est complexe : il existe souvent un ou plusieurs facteurs de prédisposition couplés à un ou plusieurs facteurs déclenchants.
Les facteurs de prédisposition
Terrain anatomique et biologique : ce qui rend la gencive fragile et la récession plus probable.
Les facteurs de prédisposition sont des éléments anatomiques, morphologiques ou tissulaires qui diminuent la capacité de la marge gingivale à résister aux contraintes mécaniques et inflammatoires. Ils concernent principalement :
- le biotype parodontal (épaisseur gingivale),
- la quantité et la qualité de gencive kératinisée,
- l’architecture de la table osseuse vestibulaire,
- la position dentaire dans l’enveloppe osseuse.
Facteurs de prédisposition les plus fréquents :
- Biotype gingival fin (tissus plus vulnérables à la traction et au traumatisme) ;
- Faible hauteur ou absence de gencive kératinisée ;
- Table osseuse vestibulaire mince, souvent associée à des déhiscences (perte osseuse en regard de la racine) ;
- Fenestrations osseuses ;
- Malpositions dentaires (dents vestibulées, en dehors de l’enveloppe osseuse) ;
- Vestibule peu profond ;
- Traction des freins et brides (tension mécanique sur la marge gingivale).
En résumé : le terrain est fragile dès le départ.
Même avec une bonne hygiène, une gencive fine ou une zone pauvre en gencive kératinisée a plus de chances de se rétracter.
Certaines personnes ont naturellement une gencive plus fine ou une “zone plus fragile” autour de certaines dents. Cela ne veut pas dire qu’il y a un problème grave, simplement que la gencive est plus sensible aux agressions, et qu’il faut parfois la renforcer ou la protéger pour éviter qu’elle ne recule davantage.
Les facteurs déclenchants
Causes actives : ce qui initie ou accélère la récession sur un terrain prédisposé.
Les facteurs déclenchants sont des agressions mécaniques, inflammatoires, iatrogènes ou occlusales qui provoquent ou aggravent la migration apicale de la marge gingivale. Ils agissent souvent sur un terrain déjà prédisposé, en induisant :
- des micro-traumatismes répétés,
- une inflammation chronique,
- des contraintes sur le parodonte marginal,
- ou une modification de l’équilibre tissulaire.
Facteurs déclenchants les plus fréquents :
- Brossage traumatique : pression excessive, mouvements abrasifs, brosse trop dure ;
- Inflammation gingivale / parodontite : plaque, tartre, saignements, inflammation chronique ;
- Traumatismes occlusaux / parafonctions : bruxisme, serrage, interférences ;
- Orthodontie hors enveloppe osseuse : vestibulo-version excessive, mouvements non compensés par un volume osseux adéquat ;
- Restaurations ou prothèses inadaptées : débords, surcontours, contacts défavorables ;
- Habitudes mécaniques : piercings, frottements répétitifs ;
- Tabac : altération de la vascularisation et de la cicatrisation ;
- Facteurs iatrogènes : traumatismes liés à certains soins ou instruments si les tissus sont fragiles.
En résumé : ces facteurs sont souvent “l’étincelle” qui déclenche la récession. Sur une gencive épaisse et robuste, ils sont parfois mieux tolérés. Sur un biotype fin ou un os vestibulaire mince, ils peuvent provoquer une récession plus rapidement.
Le déclencheur le plus courant est souvent très simple : un brossage trop énergique ou une inflammation qui s’installe.
La bonne nouvelle, c’est qu’en corrigeant les causes (technique de brossage, contrôle de la plaque, équilibre occlusal, etc.) et, si besoin, en renforçant la gencive, on peut généralement stabiliser la situation et traiter efficacement la récession.
situation initial VS GREFFE MUCO-GINGIVALE
Découvrez NOS CAS CLINIQUES
même si votre cas est UNIQUE !
Visualisez notre CHIRURGIE MUCO-GINGIVALE AVEC GREFFES DE GENCIVE ET PRF
LE TRAITEMENT DES RÉCESSIONS GINGIVALES
Le traitement repose sur une greffe de gencive. Celle-ci va permettre de consolider la gencive pour endiguer la progression de la maladie.
L’autre solution est de procéder à une équilibration occlusale. Elle est indiquée lorsque la récession est favorisée par une malposition dentaire.
Quand le problème provient du bruxisme nocturne (grincement des dents), le patient doit porter une gouttière durant la nuit. La gouttière va absorber les forces occlusales en excès. Elle est réalisée sur mesure d’après une empreinte de la dentition du patient.
Les protocoles opératoires chirurgicaux de greffes gingivales
Il existe plusieurs protocoles opératoires :
Greffe épithélio-conjonctive ou greffe de pleine épaisseur
Le greffon prélevé est complet : épithélium kératinisé + conjonctif.
Cette technique augmente et consolide la gencive kératinisée. Le recouvrement de la racine est plus ou moins complet (rarement total).
Greffe de tissu conjonctif enfoui
Seul le tissu conjonctif est prélevé : il sera enfoui sous l’épithélium du site receveur.
Ce protocole opératoire va permettre un recouvrement de la racine ainsi que la création de gencive attachée ou de papilles interdentaires.
Lambeau déplacé latéralement
Le chirurgien-dentiste vient décoller une partie de la gencive pour la déplacer. Cette technique va permettre au patient d’obtenir un recouvrement des récessions ainsi qu’un apport de gencive.
Lambeau déplacé coronairement
Cette technique permet de recouvrir une ou plusieurs récessions des gencives.
Lambeau positionné apicalement
Ce protocole permet d’ajouter de la hauteur au moignon avant de poser une couronne dentaire.
