CAS CLINIQUES pose de bridge dentaire en céramique sur zircone
Ils offrent une solution esthétique et fonctionnelle pour remplacer une ou plusieurs dents manquantes. En utilisant des matériaux de haute qualité, nous pouvons restaurer votre sourire et améliorer votre mastication.
initiale
traitement
Cas clinique : Traitement de reconstruction bi-maxillaire par des bridges céramiques.
initiale
traitement
Cas clinique : Traitement de reconstruction à la maxillaire par un bridge complet céramique sur dents naturelles (dento-porté) et un bridge implanto-portée à la mandibulaire en MCI.
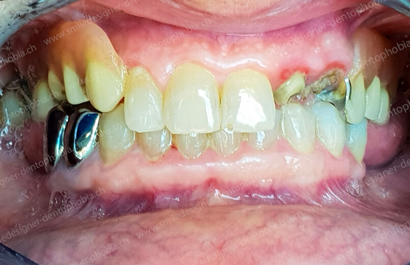
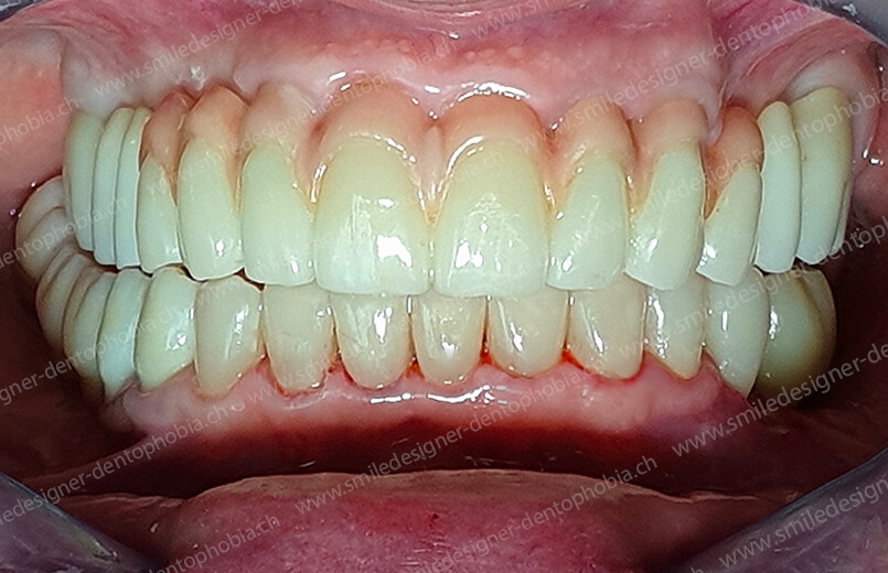
initiale
traitement
Cas clinique : Traitement de reconstruction bi-maxillaire par des bridges céramiques.
LE BRIDGE COMPLET EN CÉRAMIQUE ESTHÉTIQUE
Pour retrouver un sourire complet et harmonieux après la perte d’une ou plusieurs dents, le bridge en céramique offre une solution esthétique et fonctionnelle. Cette prothèse fixe, aussi appelée « pont », permet de combler l’espace laissé par des dents manquantes en s’appuyant sur des dents naturelles ou des implants.
Comment fonctionne un bridge céramique ?
Le bridge est composé d’une succession de couronnes en céramique, solidaires les unes des autres. Il s’ancre sur des dents piliers (naturelles ou implants) situés de part et d’autre de l’espace à combler, assurant ainsi stabilité et résistance. L’armature, en zircone ou métal, garantit la rigidité de la prothèse, tandis que la céramique reproduit fidèlement l’aspect naturel des dents.
Une solution adaptée à chaque situation
- Sur dents naturelles : le bridge s’appuie sur les dents adjacentes, préalablement préparées pour recevoir les couronnes.
- Sur implants : les couronnes sont fixées sur des implants préalablement posés, offrant une solution durable même en cas de perte osseuse ou de récession gingivale.
- Smile Design : pour les cas complexes (ex. : perte de hauteur osseuse ou de gencive), une fausse gencive en céramique rose peut être intégrée au bridge. Cette technique permet de restaurer le festonnage naturel de la gencive et les papilles interdentaires, pour un résultat esthétique optimal.
Pourquoi choisir un bridge céramique ?
- Esthétique : la céramique imite parfaitement la transparence et la couleur des dents naturelles.
- Durabilité : résistance et biocompatibilité pour une solution longue durée.
- Confort : prothèse fixe, sans mobilité, pour une mastication et une élocution normales.
