Galerie de Cas Cliniques en Vidéos
Page en cours de construction
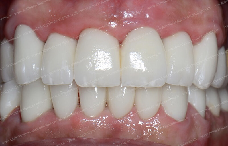
Découvrez, à travers des témoignages et des séquences avant/après, comment nos solutions sur mesure (prothèses sur implants, facettes, greffes osseuses, etc.) transforment les sourires et restaurent la fonction masticatoire. Chaque vidéo illustre une approche personnalisée, des techniques innovantes et des résultats durables, validés par des études cliniques et une expertise reconnue.
NOS RÉSULTATS CLINIQUES NE SONT PAS UNE PROMESSE DE BON DÉNOUEMENT
C’EST JUSTE CE QUE NOUS AVONS DÉJA FAIT
Notre sélection de cas cliniques et leurs résultats présentés dans ces pages correspondent à des traitements d’ores et déjà effectués sur nos patients
Bien évidemment, en aucun cas, ces cas cliniques sont une promesse de réussite pour traiter les problèmes spécifiques des patients qui viendraient nous consulter.
En revanche, elles sont une démonstration de notre savoir-faire et des stratégies qui ont été d’ores et déjà développées pour des cas similaires, déjà rencontrés, et qui peuvent être des exemples didactiques, pour les nouveaux cas qui nous seraient soumis.
La présentation de ce site Internet se veut le plus didactique et vulgarisé possible, même au prix de certains raccourcis scientifiques et sémantiques.
C’est une vulgarisation des techniques de chirurgies et médecines dentaires pour des personnes qui envisagent de se faire soigner et à qui nous aurions demandé de se familiariser à nos techniques.
Ou bien, parce qu’elles se reconnaissent d’ores et déjà dans certains de ces cas cliniques présentés ici et qu’elles souhaitent analyser les solutions qui leur conviendraient le mieux.
Ce site Internet et la présentation de ces cas cliniques n’a pas pour objectif de s’adresser à des professionnels de la santé mais au public.
Tous les patients, dont les cas cliniques figurent dans les pages de ce site, ont signé les consentements idoines.
Il acceptent que leur cas cliniques soient présentés anonymement, afin d’informer le public, réaliser des cours de formation et faire évoluer les sciences et les techniques, grâce à une émulation intellectuelle internationale ou toutes autres raisons.
