CAS CLINIQUES DE NOTRE SOLUTION "Damage Control" en mci
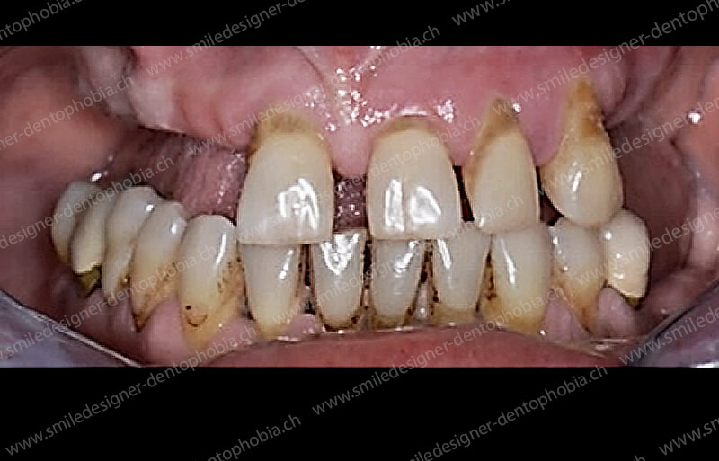
Quand les dents sont sévèrement endommagées par un traumatisme, une usure extrême ou une perte osseuse, le protocole Damage Control offre une solution immédiate et durable pour restaurer un sourire en une seule intervention.
À travers ces cas cliniques, découvrez comment nous combinons implants dentaires, greffes osseuses ciblées (si nécessaire) et prothèses en céramique pour redonner aux patients un sourire naturel, fonctionnel et harmonieux, même dans les situations les plus critiques.
Chaque transformation illustre notre engagement : rendre l’espoir et la confiance, sans compromis sur la qualité.
traitement
traitement
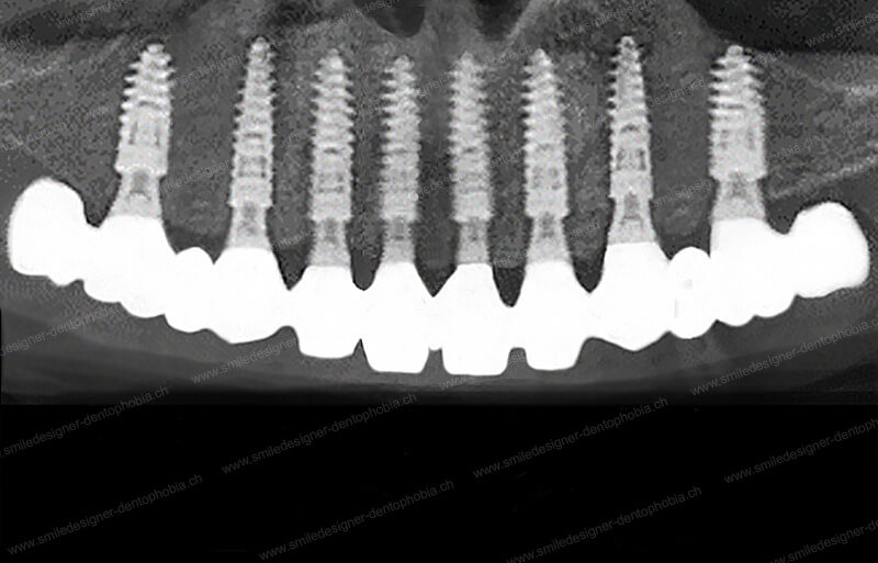
Cas clinique « DAMAGE CONTROL MCI » maxillaire : Bridge implanto-porté avec extensions postérieures (ALL ON 8). Version définitive des bridges avec un cosmétique en céramique.
traitement
Cas clinique « DAMAGE CONTROL MCI » maxillaire : Bridge implanto-porté avec extensions postérieures (ALL ON 8). Version définitive des bridges avec un cosmétique en céramique.
Reconstruction en urgence de VOTRE SOURIRE EN UNE INTERVENTION
NOTRE SOLUTION N°3 : LE "Damage Control" en mci
- 8 implants au maxillaire et 6 à 8 implants à la mandibule sont posés en une seule séance, sous anesthésie générale.
- Bridges provisoires en composite sont fixés dès les premiers jours, suivis de prothèses définitives en céramique après 6 à 12 mois de cicatrisation.
- Extensions postérieures (prémolaires/molaires) permettent de restaurer une fonction masticatoire minimale et un calage articulaire, même en cas de résorption osseuse importante.
Idéal pour les patients en situation d’urgence (dents condamnées, parodontite terminale, kystes étendus), ce protocole évite la désocialisation et redonne une esthétique naturelle et une mastication fonctionnelle en quelques jours.
- Reconstruction immédiate : pas de période sans dents, avec des bridges provisoires ultra-réalistes.
- Sans greffe osseuse : les extensions postérieures compensent la perte osseuse, évitant des interventions complexes.
- Résistance mécanique : adaptée à la plupart des gabarits, avec une dispersion optimale des forces de mastication.
- Esthétique préservée : festonnage gingival naturel et intégration harmonieuse des prothèses.
