CAS CLINIQUES DE NOTRE SOLUTION "GOLD Damage Control" en mci
Face à une perte dentaire multiple, un traumatisme ou une usure sévère, le protocole Gold Damage Control offre une solution immédiate et durable pour reconstruire un sourire en une seule intervention.
À travers ces cas cliniques, découvrez comment nous restaurons l’esthétique, la fonction et la confiance grâce à des techniques innovantes, des implants sur mesure et des prothèses en céramique ultra-réalistes.
Chaque transformation illustre notre engagement : redonner un sourire naturel, même dans les situations les plus complexes.
traitement
Cas clinique « GOLD DAMAGE CONTROL MCI » maxillaire : Bridge implanto-porté avec extensions postérieures (ALL ON 8). Version définitive des bridges avec un cosmétique en céramique.
traitement
traitement
Cas clinique « GOLD DAMAGE CONTROL MCI » maxillaire : Bridge implanto-porté avec extensions postérieures (ALL ON 8). Version définitive des bridges avec un cosmétique en céramique.
traitement
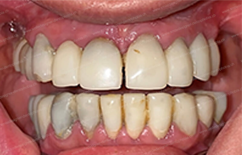
Cas clinique « GOLD DAMAGE CONTROL MCI » maxillaire : Bridge implanto-porté avec extensions postérieures (ALL ON 8). Version définitive des bridges avec un cosmétique en céramique.
traitement
Cas clinique « GOLD DAMAGE CONTROL MCI » maxillaire : Bridge implanto-porté avec extensions postérieures (ALL ON 8). Version définitive des bridges avec un cosmétique en céramique.
traitement
Cas clinique « GOLD DAMAGE CONTROL MCI » maxillaire : Bridge implanto-porté avec extensions postérieures (ALL ON 10). Version définitive des bridges avec un cosmétique en céramique.
TENTER DE SAUVER VOTRE SOURIRE EN UNE INTERVENTION
NOTRE SOLUTION N°2 : LE "GOLD Damage Control" en mci
Face à une perte dentaire multiple, un traumatisme ou une usure sévère, le protocole Gold Damage Control offre une solution immédiate et complète pour restaurer un sourire en une seule intervention. Conçu pour les situations critiques où la qualité de vie et la confiance en soi sont menacées, ce protocole combine implants dentaires, bridges provisoires fixes et techniques innovantes pour redonner aux patients un sourire naturel, fonctionnel et durable, même dans les cas les plus complexes.
Une reconstruction totale en une seule intervention
- Sans greffe osseuse pré-implantaire : même en cas de résorption osseuse importante, le protocole optimise la pose d’implants (jusqu’à 10 au maxillaire et 8 à la mandibule) pour soutenir des bridges esthétiques, avec des extensions postérieures pour une mastication complète.
- Résultat immédiat : dès la chirurgie, des bridges provisoires en composite sont posés, suivis de restaurations définitives en céramique après 6 à 12 mois de cicatrisation.
- Esthétique et fonction restaurées : les prothèses reproduisent le festonnage gingival naturel et offrent une occlusion parfaite, protégeant les articulations temporo-mandibulaires (ATM).
Pour qui ?
Idéal pour les patients en situation d’urgence (désocialisation, dégradation rapide des dents), ce protocole permet une resocialisation immédiate avec :
- Une mastication retrouvée dès les premiers jours.
- Un sourire fixe et naturel, sans dentier amovible.
- Une stabilité mécanique grâce à la dispersion des forces sur plusieurs implants.
Avantages clés
- Rapidité : reconstruction complète en 24 à 48 heures, avec une seule intervention chirurgicale dentaire sous anesthésie générale.
- Durabilité : les bridges implanto-portés définitifs en céramique garantissent une longévité exceptionnelle.
- Confort : prothèses fixes, sans mobilité, pour une mastication et une élocution normales.
- Esthétique naturelle : intégration harmonieuse avec les tissus gingivaux, grâce aux greffes osseuses et aux facteurs de croissance (PRF).
Pourquoi choisir le Gold Damage Control ?
Ce protocole allie la rigueur de la Mise en Charge Immédiate (MCI) à la flexibilité chirurgicale, permettant aux praticiens de s’adapter en temps réel aux particularités de chaque cas. Grâce à des technologies numériques (CFAO) et une planification personnalisée, il redonne aux patients confiance et qualité de vie, sans compromis sur l’esthétique ou le confort.
