CAS CLINIQUES DE NOTRE SOLUTION "GOLD STANDARD" en mci
Découvrez comment le protocole Gold Standard redonne aux patients un sourire naturel et durable en une seule intervention.
À travers ces cas cliniques, explorez des transformations complètes : implants, bridge implanto-portée en céramique et restaurations esthétiques, conçus pour répondre aux exigences les plus élevées.
Chaque exemple illustre une reconstruction sur mesure, alliant précision technique et résultat invisible, même dans les situations les plus complexes.
traitement
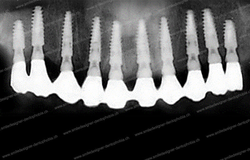
Cas clinique « GOLD STANDARD MCI » bi-maxillaire : Bridge implanto-porté sans extension postérieure (ALL ON 10). Version définitive des bridges avec un cosmétique en céramique.
traitement
Cas clinique « GOLD STANDARD MCI » bi-maxillaire : Bridge implanto-porté sans extension (ALL ON 8) au maxillaire et à la mandibule. Version définitive des bridges avec un cosmétique en céramique.
traitement
traitement
Cas clinique « GOLD STANDARD MCI » maxillaire : Bridge implanto-porté sans extension (ALL ON 8). Version définitive des bridges avec un cosmétique en céramique.
traitement
Cas clinique « GOLD STANDARD MCI » maxillaire : Bridge implanto-porté sans extension (ALL ON 10). Version définitive des bridges avec un cosmétique en céramique.
traitement
Cas clinique « GOLD STANDARD MCI » maxillaire : Bridge implanto-porté sans extension (ALL ON 10). Version définitive des bridges avec un cosmétique en céramique.
Cas clinique « GOLD STANDARD MCI » maxillaire : Bridge implanto-porté sans extension (ALL ON 10). Version définitive des bridges avec un cosmétique en céramique.
traitement
traitement
Cas clinique « GOLD STANDARD MCI » bi-maxillaire : Bridge implanto-porté sans extension (ALL ON 10). Version définitive des bridges avec un cosmétique en céramique.
traitement
traitement
Cas clinique « GOLD STANDARD MCI » bi-maxillaire : Bridge implanto-porté sans extension (ALL ON 8). Version définitive des bridges avec un cosmétique en céramique.
Reconstruisez votre sourire en une seule intervention
NOTRE SOLUTION N°1 : LE "GOLD STANDARD" en mci
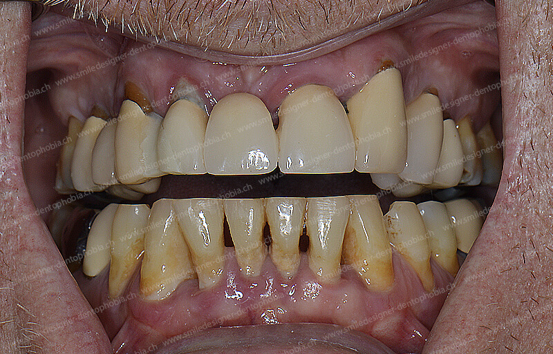
Le protocole « Gold Standard » représente l’approche la plus avancée pour la reconstruction complète et immédiate d’un sourire, même dans les cas les plus complexes. Cette technique permet de restaurer l’esthétique, la fonction et la durabilité en une seule intervention, sans compromis.
Une solution complète et personnalisée
- Reconstruction totale : Que ce soit pour une dent, une arcade ou un sourire entier, notre protocole « Gold Standard » combine implants dentaires, greffes osseuses (si nécessaire) et un bridge implanto-porté en céramique pour un résultat naturel et harmonieux.
- Mise en charge immédiate (MCI) : La prothèse provisoire sont posées dès la première intervention, offrant un sourire fonctionnel et esthétique sans délai.
- Matériaux haut de gamme : Utilisation de zircone et céramique cosmétique pour une intégration parfaite et une longévité exceptionnelle.
Pour qui ?
Idéal pour les patients ayant subi une perte dentaire importante, un traumatisme ou une usure avancée, ce protocole est conçu pour répondre aux exigences esthétiques les plus élevées. Il est particulièrement adapté aux cas où la stabilité osseuse et l’harmonie gingivale doivent être restaurées simultanément.
Avantages clés
- Résultat immédiat : Un sourire reconstruit en 24 à 48 heures, avec des prothèses provisoires.
- Durabilité : Les matériaux utilisés (zircone, céramique) garantissent une résistance et une bio-compatibilité optimales.
Confort : Prothèses fixes, sans mobilité, pour une mastication et une élocution normales dès le départ. - Esthétique naturelle : Les couronnes et bridges en céramique reproduisent la transparence et la couleur des dents naturelles, pour un rendu invisible.
Un protocole sur mesure
Chaque cas fait l’objet d’une évaluation personnalisée pour adapter la technique et les matériaux. Le suivi rigoureux assure une cicatrisation optimale et un résultat durable.
