CAS CLINIQUES REMPLACER UNE DENT DU SOURIRE PAR UN IMPLANT
Cela offre une solution durable et esthétiquement plaisante, rétablissant à la fois la fonction masticatoire, l’harmonie du sourire et une esthétique comparables à celles des dents naturelles.
Chaque traitement est personnalisé, utilisant des techniques avancées et des matériaux haut de gamme pour des résultats optimaux. Des études scientifiques (comme celles de Pjetursson et al., 2008) confirment la longévité des prothèses sur implants, qui offrent des bénéfices esthétiques et fonctionnels significatifs.
Découvrez notre sélection de cas cliniques pour voir comment nous pouvons vous aider à retrouver un sourire éclatant et naturel.
traitement
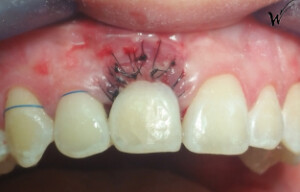
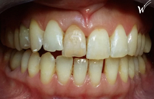
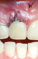
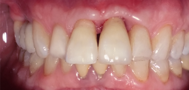
Cas clinique « SMILE RED FLAG MEI » : Traitement de remplacement d’une dent du sourire par un implant en Mise en Esthétique Immédiate. Visualisation de la version définitve de la couronne sur implant avec un cosmétique en céramique.
intermédiaire
intermédiaire
Cas clinique « SMILE RED FLAG MEI » : Traitement de remplacement d’une dent du sourire par un implant en Mise en Esthétique Immédiate. Visualisation de la version définitve de la couronne sur implant avec un cosmétique en céramique.
intermédiaire
VOICI UN exemple de cas complexe de reconstruction esthétique de la couronne, d’unE incisive centrale et de son parodonte, après l’extraction de la dent
L’extraction d’une incisive centrale, suivie de la mise en place d’une couronne céramique esthétique sur un implant en remplacement de la racine dentaire extraite, constitue une procédure dentaire complexe.
Pour restaurer l’alvéole dentaire dépeuplée après l’extraction de la racine, ainsi que la paroi osseuse externe (vestibulaire) de cette alvéole, et enfin pour sculpter la gencive autour de la couronne dentaire, une intervention de reconstruction osseuse et gingivale de l’alvéole est nécessaire. Cette intervention repose sur l’utilisation de techniques de greffes osseuses biosynthétiques, l’emploi de membranes PRF (Plasma Riche en Fibrine) contenant des facteurs de croissance plaquettaires favorisant la cicatrisation, ainsi que des injections de PRP (Plasma Riche en Plaquettes) pour stimuler la régénération des tissus mentionnés précédemment.
L’implant dentaire peut être posé avant ou pendant la réalisation des greffes osseuses et gingivales, avec l’adjonction de PRP et de PRF. Une option consiste à utiliser une guidance numérique lors de la pose de l’implant. La fabrication d’une couronne céramique cosmétique fixe, qui reconstitue la couronne dentaire naturelle, intervient après l’ostéo-intégration de l’implant dentaire et la maturation des greffes.
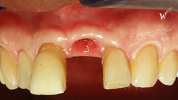
Situation clinique initiale avant traitement
L'extraction de cette dent
En raison de problèmes de rhizalyse, une résorption pathologique de la racine, ainsi que d’une infection, l’incisive centrale du patient a été extraite.
Lors de cette extraction, des biomatériaux (substituts osseux) ont été utilisés pour combler l’alvéole vidée. Il était également essentiel de réparer ou de renforcer la paroi externe de cette alvéole pour prévenir sa résorption. La finesse de cette paroi autour de la racine naturelle de l’incisive (quelques dixièmes de millimètres) ne permettait pas la pose d’un implant seul, compte tenu du vieillissement des tissus environnants et de l’importance de l’esthétique à ce niveau.
Lors de l’extraction, une greffe épithélio-conjonctive était nécessaire pour restaurer à la fois la hauteur du festonnage gingival et, bien sûr, les papilles gingivales qui disparaissent avec la dent extraite. J’ai choisi d’opter pour une greffe pédiculée avec un prélèvement au palais rétro-incisif.
L’utilisation de membranes de PRF (Plasma Riche en Fibrine) contenant des facteurs de croissance plaquettaires cicatriciels, ainsi que d’injections de PRP (Plasma Riche en Plaquettes), lors de l’intervention, renforce la capacité de reconstruction des tissus mentionnés précédemment. Ces protocoles modernes, constamment perfectionnés par les cliniciens, présentent des avantages majeurs pour la restauration immédiate de la microvascularisation, un élément déterminant pour une cicatrisation optimale à long terme des tissus mous et durs.
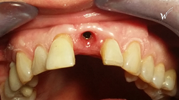
L’implant a été positionné dans l’alvéole, aligné avec la racine. À ce stade, un guide chirurgical peut s’avérer extrêmement utile, en particulier pour éviter d’éventuels obstacles anatomiques, tels que des paquets vasculo-nerveux situés dans le trou rétro-incisif.
Après la guérison des tissus mous (gencive) et durs (os alvéolaire), la couronne céramique esthétique a été installée sur l’implant.
Le maintien de l’esthétique du sourire dépend en grande partie de la reconstruction des tissus gingivaux entourant la couronne céramique esthétique et de l’os autour de l’implant.
Déroulement du protocole opératoire
Cicatrisation des tissus et résultat clinique à la pose de la couronne céramique
Remplacer une incisive par un implant
Notre solution n°5 le "SMILE RED FLAG MEI"
Lorsqu’une dent du sourire est perdue ou condamnée, notre solution « Smile Red Flag MEI » (Mise en Esthétique Immédiate) permet de la remplacer en une seule intervention, sous sédation IV, tout en restaurant immédiatement l’esthétique et la fonction. Ce protocole relève le défi technique le plus exigeant en implantologie : reconstituer un sourire naturel, avec une gencive harmonieuse et une couronne en céramique parfaitement mimétique.
Trois situations possibles, une solution adaptée :
- Dent extraite depuis longtemps :
L’os peut s’être résorbé horizontalement (crête en biseau) ou verticalement (décalage du niveau osseux, formant un « créneau »). Dans ce cas, une greffe osseuse d’apposition horizontale est réalisée lors de la pose de l’implant, ou une chirurgie préparatoire (comme une ostéotomie segmentaire) permet de remonter le niveau osseux avant l’intervention. - Dent récemment extraite (alvéole fraîche) :
Si la dent a été luxée, un scanner 3D est indispensable pour vérifier l’intégrité de la corticale osseuse (palatine ou linguale). Les fragments fracturés doivent être retirés pour éviter tout risque d’infection, ou fixés avec des vis d’ostéosynthèse si possible. - Dent encore en place (extraction prévue pendant l’intervention) :
L’extraction doit être réalisée avec précaution pour préserver la corticale palatine, qui servira d’appui à l’implant. Une greffe osseuse systématique est intégrée au protocole pour garantir un résultat optimal.
Quelle que soit la situation, notre protocole « one shot » permet de poser l’implant et restaurer l’esthétique en une seule étape, en combinant :
- Techniques chirurgicales avancées (greffes osseuses, ostéotomies).
- Matériaux haut de gamme (céramique ultra-réaliste).
- Expertise en Mise en Charge Immédiate (MCI) pour un résultat naturel dès le premier jour.
Chaque cas est unique et nécessite une évaluation personnalisée pour adapter les techniques (greffe osseuse, PRF, greffon conjonctif). Grâce à cette approche, même les situations les plus complexes (perte osseuse, traumatismes) sont prises en charge avec succès, pour un sourire restauré dans sa globalité.
