CAS CLINIQUES DE NOTRE SOLUTION "Domino Surgeries" en mci
Quand plusieurs dents sont perdues ou condamnées, le protocole Domino Surgeries permet de les remplacer avec des chirurgies dentaires en cascade, grâce à une approche innovante combinant implants dentaires et prothèses fixes provisoires.
À travers ces cas cliniques, découvrez comment nous restaurons l’esthétique, la fonction et la confiance en un temps record, même dans les situations les plus complexes.
Chaque transformation illustre notre engagement : redonner un sourire naturel et durable, sans compromis sur la qualité ou le confort.
VOIR LE FILM DE L’INTERVENTION DE POSE DES IMPLANTS
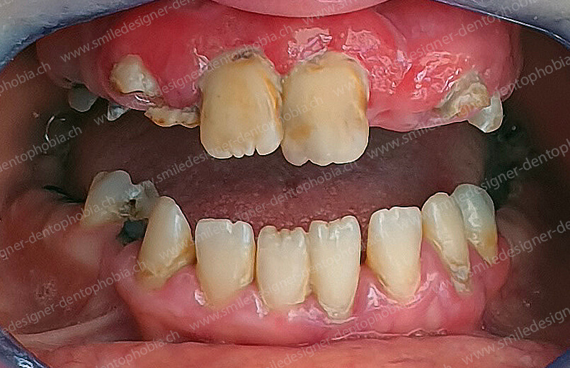
Cas clinique « DOMINO SURGERIES MCI » : Bridge implanto-porté sans extension postérieure (ALL ON 10/8). Version définitive des bridges avec un cosmétique en céramique. Double comblements de sinus et double greffes osseuses d’apposition pour la reconstruction du maxillaire.
VOIR LE FILM DE L’INTERVENTION DU COMBLEMENT DE SINUS
Cas clinique « DOMINO SURGERIES MCI » : Bridge implanto-porté sans extension postérieure (ALL ON 8/6). Version définitive des bridges avec un cosmétique en céramique. Double comblements de sinus et double greffes osseuses d’apposition pour la reconstruction du maxillaire.
CICATRICATION
Cas clinique « DOMINO SURGERIES MCI » : Bridge implanto-porté avec extensions postérieures (ALL ON 6/6).
Version intermédiaire des bridges de première intention de Mise en Charge Immédiate (MCI) pour une resocialisation immédiate de la patiente cas en cours de cicatrisation des sinus lift et en attente des futurs implants postérieurs maxillaires.
Version définitive des bridges avec un cosmétique en céramique (ALL ON 10/6). Double comblements de sinus et double greffes osseuses d’apposition pour la reconstruction du maxillaire.
traitement
Cas clinique « DOMINO SURGERIES MCI » : Bridge implanto-porté sans extension postérieure (ALL ON 8/6). Version définitive des bridges avec un cosmétique en céramique. Double comblements de sinus et double greffes osseuses d’apposition pour la reconstruction du maxillaire.
DES CHIRURGIES en CASCADE pour reconstruire VOTRE SOURIRE EN UNE INTERVENTION
NOTRE SOLUTION N°4 : LE "Domino Surgeries" en mci
Pour les patients confrontés à une résorption osseuse extrême ou à un édentement total, le protocole Domino Surgeries offre une solution de sauvetage grâce à une succession de chirurgies pré-implantaires. Ce protocole permet de reconstruire les bases osseuses maxillaires et de poser des implants, même dans les cas les plus complexes, en combinant greffes osseuses, facteurs de croissance (PRF) et prothèses provisoires fixes pour une réhabilitation progressive et complète.
Un protocole en cascade pour des situations désespérées
- Première étape : pose de 6 implants au maxillaire et 6 à 8 implants à la mandibule dans la zone antérieure, pour restaurer immédiatement l’esthétique du sourire.
- Deuxième étape : une série de greffes osseuses (sinus lift, greffes d’apposition, etc.) pour reconstruire les secteurs postérieurs, en attendant la cicatrisation entre chaque intervention.
- Résultat final : une arcade dentaire complète, de molaire à molaire, avec des bridges en céramique, pour une mastication optimale et un sourire naturel.
Pour qui ?
Ce protocole est conçu pour les patients en situation critique :
- Résorption osseuse avancée (notamment au niveau des sinus maxillaires).
- Dents manquantes ou condamnées en raison de pathologies (parodontite, kystes, etc.).
- Urgence sociale ou professionnelle nécessitant une solution rapide et durable.
Avantages clés
- Reconstruction progressive : chaque étape prépare la suivante, comme un effet domino, pour aboutir à une réhabilitation complète.
- Sans période sans dents : des bridges provisoires en composite sont posés dès la première intervention.
- Résultat durable : les greffes osseuses et les implants permettent une stabilité à long terme, même dans les cas les plus sévères.
- Adapté à tous les gabarits : grâce à la pose d’un nombre optimal d’implants et à l’utilisation de facteurs de croissance (PRF) pour favoriser la cicatrisation.
Pourquoi choisir le Domino Surgeries ?
Ce protocole allie rigueur chirurgicale et flexibilité, permettant aux praticiens de s’adapter en temps réel aux particularités de chaque cas. Grâce à des techniques numériques (CFAO) et une planification personnalisée, il redonne aux patients confiance et qualité de vie, sans compromis sur l’esthétique ou le confort.
