VOTRE BLANCHIMENT DENTAIRE POUR UN SOURIRE ÉCLATANT
"SMILE DESIGN"votre sourire haute couture
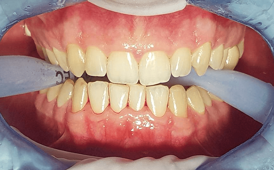
Retrouvez un sourire éclatant en 1 séance ?
Redécouvrez le pouvoir de votre sourire
grâce aux dernières innovations
en dentisterie esthétique
Table des matières
initiale
traitement
"LE PLUS BEAU SOURIRE EST CELUI QUI A LUTTÉ CONTRE DES LARMES "
DEMI LOVATO
COMMENT SE DÉBARRASSER DU COMPLEXE DES "DENTS JAUNES"
OSEZ À NOUVEAU SOURIRE APRÈS UN BLANCHIMENT DE VOS DENTS DU SOURIRE
La dentisterie esthétique englobe différents traitements, dont le blanchiment dentaire. Le blanchiment des dents permet d’éclaircir la teinte de vos dents du sourire pour rétablir l’esthétique du sourire. Ce traitement est réalisé en une à deux heures chez un professionnel de santé, ou bien chez vous en une à deux semaines en ambulatoire.
Le médecin dentiste peut préconiser plusieurs techniques de blanchiment des dents. Elles sont proposées à la suite d’un bilan du sourire.
COMMENT SE PASSE LE BLANCHIMENT DES DENTS du sourire AU CABINET DENTAIRE ?
le BILAN DU SOURIRE AVANT le BLANCHIMENT
Le blanchiment dentaire débute avant tout par un bilan bucco-dentaire. Ce dernier est indispensable pour obtenir des résultats probants. Le bilan s’effectue par une vérification des contre-indications éventuelles au protocole : caries, gingivites, parodontites. L’analyse du sourire fait partie intégrante du bilan. Ainsi, il est important de noter que la coloration des dents a des facteurs multiples et variés : l’hérédité, la prise de médicaments spécifiques lors de la formation des dents comme les antibiotiques de la famille des tétracyclines, la consommation excessive de café et de thé ou le tabagisme.
une seul séance suffit
Le blanchiment dentaire au cabinet dentaire est une technique en one shot. Une séance suffit pour un résultat optimum car les produits utilisés contiennent une forte concentration d’actif blanchissant. De manière générale, une séance dure deux heures. Si la coloration des dents est trop accentuée, il est nécessaire de prévoir une seconde séance un mois plus tard, les résultats n’en seront que plus probants.
Le protocole du blanchiment dentaire au cabinet
La séance débute par la protection de la gencive. Celle-ci s’effectue grâce à un pansement en mousse photo-polymérisée. Une fois les gencives parfaitement isolées, un gel de blanchiment contenant du peroxyde d’hydrogène est posé sur les dents.
Après l’application du gel, soit un faisceau de lumière active le produit par photo-activation, soit un catalyseur contenu dans le gel réalise la même fonction par chemo-activation. Cette opération est à renouveler toutes les quinze minutes.
Le blanchiment des dents au cabinet est très avantageux. En effet, l’éclaircissement est rapide, et la technique est sans danger pour l’émail dentaire.
Prolonger le blanchiment des dents chez soi
Le protocole peut être combiné à une gouttière à porter à la maison. La gouttière est réalisée en prenant les empreintes des dents du patient. Le prolongement de l’éclaircissement est ainsi optimisé.
Comment porter une gouttière à la maison pour un blanchiment dentaire ?
Afin de prolonger le blanchiment des dents chez soi, le médecin dentiste réalise une empreinte de la dentition du patient dans son cabinet. Cette empreinte lui permet de concevoir une gouttière sur mesure. Le patient doit ensuite appliquer un gel blanchissant sur ses dents, et porter la gouttière une heure par jour pendant une à deux semaines. La durée du traitement varie en fonction des conseils du chirurgien-dentiste.
NOUS RÉPONDONS À VOS QUESTIONS
SUR LE BLANCHIMENT DENTAIRE
Notre médecin-dentiste répond à vos questions les plus fréquemment posées. Si votre cas clinique n’est pas mentionné, veuillez le contacter pour une consultation.
Le blanchiment des dents comporte-t-il des dangers ?
Lorsqu’il est effectué par un médecin dentiste, le blanchiment ne comporte aucun risque. En effet, le risque principal du traitement est le contact éventuel entre le produit oxydant et la gencive. Au cabinet dentaire, la gencive est bien protégée : on élimine alors tout risque de contact.
L’autre intérêt de réaliser son blanchiment dentaire en cabinet est de déceler si des soins dentaires sont nécessaires avant le blanchiment, ce qui élimine totalement les potentiels problèmes que pourrait causer le traitement.
Tous les blanchiments se valent-ils ?
Non, car les produits utilisés ont des concentrations, des temps de pose et des modes opératoires différents. En matière de technique, rien ne remplace l’expérience d’un professionnel de santé.
Le chirurgien-dentiste choisit les produits les plus adaptés et les plus efficaces pour réaliser le blanchiment dentaire.
Quelle est la longévité du traitement de blanchiment des dents ?
Une fois dépigmentées, les dents le restent pour de bon. Cependant, il est possible que les dents se recolorent à cause des tanins que l’on trouve dans le café, le thé, le vin ou le tabac.
Il est également possible que la dentition perde de son éclat avec l’âge. Dans ce cas-là, il est intéressant de procéder à un traitement d’entretien rapide pour prolonger l’effet du blanchiment dentaire.
Quelles sont les solutions pour pallier l’hypersensibilité dentaire post-blanchiment ?
Après une séance de blanchiment, la sensibilité dentaire peut être accrue. Elle peut être causée par une déshydratation post-traitement. Celle-ci disparaît naturellement au bout de quelques heures. Cependant, il arrive qu’elle persiste plusieurs jours après le traitement.
Pour pallier cet effet indésirable, il faut utiliser un dentifrice enrichi au fluor et au nitrate de potassium. Les douleurs disparaissent également avec un Advil 200 caps.
Les gencives peuvent-elles devenir plus sensibles après le blanchiment ?
La déshydratation globale de la bouche lors du traitement peut rendre les gencives plus sensibles. Cette sensibilité se dissipe au bout de 48 heures maximum.
Quelles sont les contraintes post-blanchiment des dents ?
Le tabac est interdit pendant une semaine. Les aliments très colorés ou contenant du tanin sont contre-indiqués durant plusieurs jours : thé, café, vin, fruits rouge ou acides.
Existe-t-il des alternatives au blanchiment dentaire ?
Les alternatives au blanchiment en cabinet existent. Il s’agit de produits vendus en pharmacie, parapharmacie ou grandes surfaces. S’ils sont plus accessibles, ils sont moins efficaces qu’un blanchiment dentaire chez un chirurgien-dentiste.
En effet, ces produits comportent de faibles concentrations de peroxyde d’hydrogène ; l’éclaircissement est moins perceptible.
De plus, l’absence de contrôle avant le blanchiment peut faire prendre un risque aux patients.
APRÈS UN BLANCHIMENT DES DENTS, QUE FAUT-IL ÉVITER ?
Plusieurs aliments sont à éviter durant la semaine qui suit le blanchiment des dents, parmi lesquels :
- Thé, café, vin rouge, jus de fruits, sirops et sodas aux colorants ;
- Fruits et légumes rouges (fraises, myrtilles, betteraves, tomates, etc.) ;
- Agrumes (citron, pamplemousse, orange, etc.) ;
- Caramel, réglisse, bonbons colorés ;
- Certaines épices comme le paprika ou le curcuma…
Il est également interdit de fumer durant la semaine.
Une bonne hygiène bucco-dentaire est indispensable : il faut se brosser les dents après chaque repas. Boire de l’eau lors de la consommation d’aliments à fort pouvoir colorant évite également les taches dentaires.
