comment RAJEUNIr le VISAGE GRÂCE AU REPOSITIONNEMENT DU MENTON
Le réhaussement de la Dimension verticale d’occlusion – dvo
L'ANALYSE DU VIELLISSEMENT DE VOTRE VISAGE
VOTRE VISAGE N'ARRIVE PAS À ÊTRE RAJEUNI PAR LA MÉDECINE ESTHÉTIQUE ?
L'ATTRITION OU L'ABSENCE DE VOS DENTS ENTRAINE UN RAPPROCHEMENT DES MÂCHOIRES
GRÂCE AU RÉHAUSSEMENT DE LA DIMENSION VERTICALE D'OCCLUSION RETROUVEZ VOTRE VISAGE ÉCLATANT DE VITALITÉ
Table des matières
" LES RIDES DEVRAIENT SIMPLEMENT ÊTRE L'EMPREINTE DES SOURIRES "
MARK TWAIN
AuriEZ-VOUS CES SIGNES DE VIEILLISSEMENT SUR VOTRE VISAGE ?
AVEZ-VOUS CES SIGNES DE VIEILLISSEMENT SUR VOTRE VISAGE ?
Dans ce cas, votre visage ne nécessite pas uniquement un rajeunissement par des techniques de médecine esthétique classique, comme par exemple : des injections de « filer » ou de « Botox » ou des « fils tenseurs » !
Le problème ne concerne pas seulement que les tissus mous (peau) mais sans doute la structure squelettique des mâchoires :
Ce n’est pas que les tissus mous, comme la peau et le tissu conjonctif, qui se sont distendus et qui ont vieillis.
Le problème vient aussi d’une déstructuration de vos bases osseuses squelettiques de la face !
La dysharmonie de votre visage est consécutif à un rapprochement de vos mâchoires, parce que vos dents sont perdues totalement ou partiellement ou bien, parce qu’à force de grincer des dents vous les avez usées (attrition) : cette parafonction s’appelle le bruxisme.
Le traitement de rajeunissement principale de votre visage passe par la restructuration de l’harmonie de la partie basse de votre squelette facial et la correction du rapprochement des mâchoires, inéluctable dans ces cas de figures. Cette situation est appelée : “la diminution (perte) de la Dimension Verticale d’occlusion” ou DVO.
Comme vous pouvez le constater sur les photos avant et après de notre « exemple de cas clinique » : les traitements de dentisterie esthétique ou autrement dit “d’anti-aging du sourire et du visage” ou de “rajeunissement du sourire” ou de “Smile design“, comportent deux grands thèmes :
- La régénération et la restructuration des tissus mous : la peau en général, les joues et des lèvres, qui relèvent des compétences du médecin esthétique.
- La reconstruction et le repositionement des tissus durs : essentiellement les dents et les bases osseuses maxillaires, qui relèvent des compétences du dentiste esthétique.
Ce sont ces techniques qui vont vous être expliquées et démontrées dans ce chapitre consacré à la participation de la médecine dentaire dans l’anti-aging du visage.
LA RECHERCHE DE L’ESTHÉTIQUE DU VISAGE OU LE "SMILE DESIGN".
L’harmonie du visage passe par la restructuration de la partie basse du squelette facial et la correction du rapprochement des mâchoires, appelée “la perte de la Dimension Verticale d’Occlusion”.
Les tissus durs du visage participent à l’expression du sourire. C’est à dire essentiellement les dents et les bases osseuses maxillaires (le maxillaire supérieur et la mandibule).
Une déstructuration de ces tissus entraine une dysharmonie du visage.
Leur restructuration entraine un effet de rajeunissement de l'expression du visage et du sourire.
Des traitements de reconstructions prothétiques des arcades dentaires peuvent corriger les défauts d’écartement des mâchoires, appelé Dimension Verticale d’Occlusion ou DVO.
L’harmonisation des tissus mous du visage
Les tissus mous du visage participant à l’expression du sourire. C’est à dire que, la peau en général, les joues et des lèvres, peuvent être harmonisées par des restructurations de rajeunissement. Elles sont réalisées grâce aux injections de fillers (acide hyaluronique), des fils tenseurs crantés, des injections de botox (toxine botulique) ou par des traitements cosmétiques de rajeunissement chimiques et/ou biologique (PRP, PRF, Stem cells) et/ou LASER, (entre autres techniques).
Ces traitements sont mis en œuvre en coopération entre le dentiste esthétique et des médecins esthétiques ou même des chirurgiens esthétiques selon les techniques employées.
L’harmonisation des tissus durs du visage
Les tissus durs du visage participant à l’expression du sourire sont essentiellement les dents et les bases osseuses maxillaires (le maxillaire supérieur et la mandibule). Ces pièces anatomiques s’articulent les unes avec les autres. Ces rapports d’articulations peuvent être harmonisées par des restructurations de rajeunissement, réalisées grâce à des traitements de reconstructions prothétiques dentaires. Ils corrigent les défauts d’écartement des mâchoires appelé Dimension Verticale d’Occlusion ou DVO.
Par voie de conséquence, ils corrigent les défauts d’harmonie du sourire et rajeunissent l’expression du visage.
DEUX STRATÉGIES THÉRAPEUTIQUES
La correction des défauts d’harmonie des dents du sourire
Les traitements d’anti-aging dentaires, au sens strict, sont toutes les techniques de reconstructions dentaires conventionnelles, comme la pose de couronnes ou de bridges en céramique, la pose d’implants dentaires portant des couronnes ou des bridges. Mais dans cette discipline, il y a une recherche accrue de la perfection esthétique.
Ce sont aussi les traitements spécifiquement esthétique, comme les facettes dentaires en céramique.
La correction des défauts d’harmonie des masses osseuses du visage
Les traitements d’anti-aging des masses squelettiques participant à l’expression esthétique du sourire et du visage sont essentiellement ceux qui concernent la restructuration du volume, du positionnement et de l’écartement des deux mâchoires : le maxillaire supérieur et le maxillaire inférieur (ou mandibule).
Ces traitements dentaires d’anti-aging du sourire et du visage sont de deux natures :
Premièrement : Les corrections de la perte du volume intrinsèque des maxillaires.
C’est la perte de volume au niveau des maxillaires et les tissus connexes, suite à des pertes de substances. La correction de ces pertes se font grâce aux techniques de chirurgie plastique, reconstructrice et esthétique dentaire des bases osseuses et les tissus mous qui les recouvrent (muqueuse et gencive attachée), comme par exemple : toutes les techniques de greffes osseuses préimplantaires, les greffes de gencives.
Deuxièmement : Les corrections de la perte du volume extrinsèque des maxillaires.
C’est la perte de volume du bas du visage, suite au rapprochement des mâchoires consécutif aux pertes de substance dentaire, totales ou partielles et/ou aux pertes de substances des bases maxillaires.
La correction de cette perte de la DVO consiste à effectuer le chemin inverse grâce au rehaussement de la Dimension Verticale d’Occlusion ou DVO.
C’est ce thème particulier de traitement de rajeunissement du visage et du sourire grâce aux traitements dentaires, au sens strict, qui va être développé dans le chapitre qui suit.
Le Smile design, c’est à dire la conception et la réalisation des corrections des défauts d’harmonie du sourire et du visage, passe obligatoirement par l’analyse du vieillissement défini dans ces précédents thèmes afin d’obtenir un joli visage illuminé par beau sourire.
Le team de médecins dentistes esthétiques de Smile designer & dentophobia a organisé un plateau technique afin d’être à même de gérer la restructuration et l’embellissement des tissus de ces différentes zones du visage.
Nous avons également des équipes de praticiens spécialisés dans toutes les spécialités connexes à la dentisterie esthétiques comme des médecins et chirurgiens esthétiques. Ils sont susceptibles de travailler en synergie harmonieusement.
LA RESTRUCTURATION DE LA DIMENSION VERTICALE D’OCCLUSION (DVO)
LE RAJEUNISSEMENT DU VISAGE ET DU SOURIRE GRÂCE À LA CORRECTION DE LA FONTE DU SQUELETTE FACIAL.
Lorsque les spécialistes du rajeunissement du visage, comme les dentistes, les médecins et chirurgiens esthétiques, font leur analyse esthétique de départ, ils doivent prendre en considération la fonte du volume de la face qui est soit physiologique, soit pathologique.
La fonte physiologique due à l’âge est, d’une part celle des tissus mous par la diminution de la graisse du visage mais aussi, la fonte du massif squelettique facial.
La fonte osseuse physiologique due à l’âge entraine une perte de volume essentiellement dans le sens antéro-postérieur et dans la largeur.
La fonte pathologique due à l’âge correspond la plupart du temps à une perte du volume dans le sens vertical. Elle est essentiellement due au rapprochement des mâchoires, suite au vieillissement de la denture.
C’est à dire, que l’ensemble des dents de l’arcade dentaire à une hauteur diminuée, à cause de leur disparition partielle ou totale, ou de leur usure exagérée, à cause d’un grincement intempestif, que nous nommons le bruxisme.
Les dents du sourire doivent s’inscrire dans un volume qui restaure l’harmonie de l’ovale de la partie basse du visage.
En reconstruisant les dents constituant les arcades dentaires dans un volume corrigé, les dentistes esthétiques restructurent la Dimension Verticale d’Occlusion désorganisée par la perte ou l’usure des dents.
Les chirurgiens plasticiens et les médecins esthétiques rajeunissent le visage principalement en restructurant les pertes de volume des tissus mous de la face.
En complément, les dentistes esthético-conscients, rajeunissent le visage principalement en restructurant les pertes de volume du massif squelettique facial et en particulier, dans le sens verticale du bas du visage.
LE RAJEUNISSEMENT DU SOURIRE GRÂCE RESTRUCTURATION DE L'HARMONIE DU SOURIRE SQUELETTIQUE.
Le rajeunissement du visage repose sur l’association des traitements médicaux incluant le remodelage des tissus mous de la face (dévolu aux chirurgiens et médecins esthétiques) et la restauration du bon écartement des deux mâchoires (dévolu aux dentistes esthétiques).
La restructuration de l’harmonie du sourire squelettique passe par le remplacement des dents manquantes ou usées.
Les dentistes esthético-conscients reconstruisent des arcades dentaires partiellement ou totalement détruites par la carie dentaire ou l’usure du au bruxisme, dans un volume approprié. Cela permet la restructuration du bon écartement des mâchoires et donc de la hauteur de la partie basse du volume squelettique facial : le sourire squelettique.
La Dimension Verticale d’Occlusion est la distance entre la base du nez et la pointe du menton. L’écartement entre ces deux points défini la hauteur de la partie basse du visage ou étage inférieur de la face.
Le visage à trois étages : supérieur, moyen et inférieur. L’harmonie du visage dépend du respect des proportions entre ces trois étages de la face. Certains chirurgiens esthétiques introduisent le nombre d’or dans les proportions idéales du visage.
L’usure ou la perte partielle et/ou totale des dents induit un rapprochement des mâchoires. C’est à dire une perte de la Dimension Verticale d’Occlusion, donc un tassement de l’étage inférieur du visage avec pour conséquence une perte de l’ovale du visage et un aspect anormalement vieillit de l’expression du visage et du sourire.
Le vieillissement de l’étage inférieur ou sourire squelettique, perturbe les proportions verticales du visage et donc l’harmonie esthétique de l’ensemble de l’expression du sourire.
situation initial VS réhaussement de la dvo
Découvrez un DE NOS CAS CLINIQUES
Même si votre cas est UNIQUE !
Visualisez le réhaussement de la dimension verticale d'occlusion pour RAJEUNIr VOTRE visage
LES MÉCANISMES ET LES CONSÉQUENCES DU RAPPROCHEMENT DES MÂCHOIRES
Le rapprochement des mâchoires conduit à l’effondrement de la partie basse du visage avec pour conséquences :
- Un écrasement des lèvres l’une contre l’autre;
- Une perte de l’ovale du visage;
- Éventuellement des ptoses des joues ou bajoues.
Ce sont ces conséquences de la diminution de la Dimension Verticale d’Occlusion ou DVO que nous devons corriger.
Les causes du rapprochement des mâchoires sont nombreuses : L’usure dû à l’âge ou au bruxisme (c’est à dire le fait de serrer ou grincer des dents) la destruction des dents par la carie dentaire, la résorption osseuse des mâchoires à la suite d’extractions ou des kystes, des soins dentaires iatrogènes.
Tous ces phénomènes peuvent avoir de multiples conséquences sur votre santé et sur l’esthétique de vos dents, de votre sourire et de votre visage.
Les outils thérapeutiques pour corriger cette diminution de la dimension verticales d’occlusion sont la pose de facettes céramiques, de couronnes et des bridges céramiques, d’inlay ou onlay ou de table top (sorte de facette occlusale). La pose d’implants dentaires, les greffes osseuses pré-implantaires, comme les comblements de sinus, participent évidement à la reconstruction des arcades dentaires.
L’utilisation des techniques de sédation vigile par voie intraveineuse (voir le chapitre sédation dentaire) permet aux patients phobiques du dentiste de se faire soigner pour des traitements simples ou complexes. La présence d’un médecin anesthésiste réanimateur qui réalise les sédations, permets de faire en toute sécurité et confort des interventions de pose de prothèses ou de chirurgie orales légères ou lourdes.
Lorsque la correction de la DVO n’est pas suffisante pour retrouver l’harmonie du visage, des compléments de restructuration des tissus mous doivent être envisagés. En particulier, pour remplir les zones creusées des joues et de la « vallée des larmes », des injections d’acide hyaluronique peuvent être effectuées par les médecins dentistes esthétiques.
Lors de ptôses importantes des joues ou d’amaigrissement du visage, le relais est donné aux médecins ou chirurgiens esthétiques pour des restructurations du visage par la pose de fils tenseurs crantés ou des lifting avec lipostructure pour remplir les zones creusées des joues.
La médecine et dentisterie régénérative prend toute sa place grâce aux injections de PRP et/ou PRF et/ou de Stem cells avec lipostructure pour raffermir et aider à régénérer les tissus du visage et plus particulièrement les joues et les lèvres.
LES ORIGINES DU RAPPROCHEMENT DES MÂCHOIRES
L’impression de vieillissement prématuré du visage et du sourire est dû à une déstructuration de l’harmonie des tissus du visage qui constituent le sourire squelettique et le sourire conjonctif et peaucier.
La composante des tissus mous (peau) est plutôt du ressort des médecins et chirurgiens esthétiques. Mais la composante squelettique et particulièrement au niveau de la partie basse du massif osseux facial, est du ressort des dentistes esthético-conscients car les principales causes de cette déstructuration sont d’origine dentaire ou des tissus attenants.
L’usure par le bruxisme, les caries et les extractions dentaires
Le bruxisme est une des causes principales de l’usure dentaire. Elle trouve une de ses origines dans le stress ordinaire.
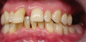
L’usure due à l’âge ou au grincement des dents (bruxisme) réduit la hauteur des dents. Sur la photo, à droite, le patient s’est usé les dents presque jusqu’à la gencive : La bruxomanie, en particulier nocturne, est un comportement d’auto mutilation très destructeurs des organes dentaires.
La destruction des dents par la carie
La résorption de l’os des mâchoires après des extractions dentaires
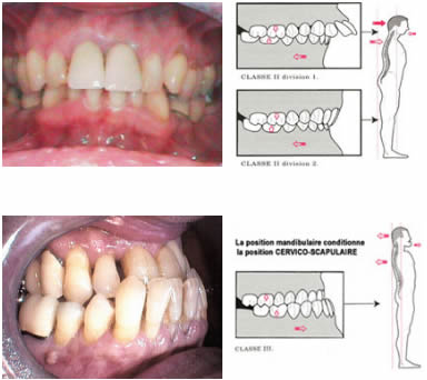
Le type anatomique parfait : Classe I d’Angle
Les autres types anatomiques : Classe II et III d’Angle
CLASSE II : les dents du haut sont en avant. Elle conduit à l’encastrement de l’arcade inférieure dans l’arcade supérieure. La tête est souvent poussée vers l’avant.
CLASSE III conduit à l’encastrement de l’arcade inférieure dans l’arcade supérieure. La tête est souvent poussée vers l’arrière.
La combinaison de tous les problèmes
On peut avoir un peu de tout : L’usure dentaire est favorisée un édentement postérieur. L’encastrement de la mâchoire inférieur est favorisé par une Classe II. L’endentement et le rapprochement des mâchoires a obligé le patient, pour mastiquer, à propulser sa mâchoire inférieure en avant, du coup les incisives supérieures n’ont pas résistées à cette pression et se sont déchaussées en basculant vers l’avant !
La disharmonie est complète et la perte de l’esthétique est un corollaire évident.
LE RAPPROCHEMENT DES MÂCHOIRES: LES CONSÉQUENCES GÉNÉRALES
Sur la santé : De nombreux désordres ostéopathiques sont dues au rapprochement des mâchoires. La déstructuration de toute la mécanique musculaire et articulaire de la tête, du cou et du haut du tronc entraine une fatigue physique intense et des douleurs chroniques ou aigües.
Sur la psyché : La perte de l’esthétique suite à l’affaissement du visage et l’impression du vieillissement prématuré du sourire et du visage agit sur le mental et augmente le risque de dépression et de perte d’estime de soi.
Les conséquences du vieillissement du visage sur le corps et la tête
Sur le corps : Si l’on en croit la médecine chinoise traditionnelle il y a des liens entre :
- Les dents et les reins
- Les lèvres et la rate
- Le nez et les poumons
- Les muscles faciaux et le foie
- La parole et le cœur
Sur la tête :
- Résorption du massif osseux facial
- Sourire moins attractif
- Affaissement des tissus mous du visage
- Détérioration des articulations
Les conséquences du vieillissement sur l’articulation temporo-mandibulaire ou ATM
La détérioration des mâchoires entraine des problèmes d’articulation en particulier l’articulation temporo-mandibulaire ou ATM (en avant et en bas du conduit de l’oreille). Les parafonctions (comme le bruxisme : grincement ou serrement des dents) accélèrent ce processus. Le stress est à l’origine ou un facteur aggravant de ces comportements.
Le principal problème articulaire au niveau de l’articulation temporo-mandibulaire ou ATM est que la tête de l’articulation de la mâchoire inférieure (condyle) se déplace anormalement dans partie crânienne de l’articulation (cavité glénoïde) et entraine une usure du cartilage qui peut conduire à une hernie ou une fracture du ménisque de l’ATM.
Les conséquences du vieillissement sur la tête et le cou
- Des maux de tête ;
- Des apnées du sommeil ;
- Des craquements ou claquements dans les articulations ;
- Des contractures douloureuses des muscles du cou et des épaules.
Vers la perte des proportions esthétiques du visage
- Des maux de tête ;
- Des apnées du sommeil ;
- Des craquements ou claquements dans les articulations ;
- Des contractures douloureuses des muscles du cou et des épaules.
Les différents signes de vieillissement observés
au niveau des lèvres
Ourlement de la lèvre inférieure : La lèvre supérieure part en arrière et devient moins visible. La lèvre inférieure est poussée en avant. Elle s’ourle et remonte sur la lèvre supérieure. Une ride horizontale apparaît sur le milieu du menton entre la lèvre inférieure et la pointe du menton là ou la peau est pliée.
Rétrécissement apparent des lèvres : Les vraies commissures anatomiques des lèvres ne coïncident plus avec les commissures visibles des lèvres qui semblent se déplacer vers le milieu de la bouche. La bouche et les lèvres donnent l’impression d’être rétrécies.
au niveau du visage
Le menton : Le menton part en haut et en avant suite à la rotation de la mâchoire inférieure autour de son axe (articulation temporomandibulaire). La conséquence est que le menton est trop en avant et l’expression faciale ressemble à celle d’un prognathe.
Les joues : Les joues perdent leur tension et tombent en formant une bajoue. Le sillon naso-génien se creuse à cause de l’affaissement de la joue sur elle-même.
L’Angle goniaque et la branche horizontale de la mandibule : L’angle goniaque et la branche horizontale de la mandibule se déplacent vers le haut et vers l’avant, autour de leur axe de rotation : l’articulation temporomandibulaire. L’expression de mâchoire “carrée” est perdue.
L’ovale du visage : La partie basse de “l’ovale” du visage est écrasée créant une expression renfrognée.
LES RÉSULTATS escomptés ET CONSÉQUENCES
DE LA RESTRUCTURATION DE LA DIMENSION VERTICALE du visage
La correction de la hauteur de la partie inférieure du squelette de la face conduit à la correction de la dysharmonie du volume du massif osseux facial et restaure non seulement l’esthétique et la physiologique des arcades dentaires (la denture) mais aussi par corollaire évidente l’harmonie esthétique et physiologique du sourire et du visage.
En conséquence, l’impression de vieillissement prématurée s’efface, pour redonner à la patiente la véritable expression de son visage, non altérée par des délabrements dentaires.
Libre à cette personne ensuite, si elle le souhaite, de parfaire ce résultat avec l’apport des techniques d’anti-aging des médecins et chirurgiens esthétiques par des injections d’acide hyaluronique ou des lipostructures associées ou non à des lifting de la face.
Une fois la composante squelettique du massif facial restructurée alors et alors seulement, les médecins et chirurgiens esthétiques peuvent intervenir sur les tissus mous.
Inverser le timing de ces protocoles serait une faute importante dans la plupart des cas. Car l’analyse initiale du médecin ou chirurgien esthétique serait faussée par l’absence de prise en compte des délabrements dentaires, induisant une déstructuration supplémentaire des tissus mous de la face, du fait que leur support osseux se soit déformé.
En fait tout se passe comme si par exemple, une tenture (les tissus mous de la face: peau, lèvres) était distendue ou déformée parce que le support mural (le mur osseux du squelette de la face sur lequel les muscles et la peau s’insèrent) était lui-même déformé.
La conséquence sur le rajeunissement du sourire est évidente : c’est seulement après avoir refait la parfaite surface et volume du mur que la tenture peut être positionnée correctement.
Si et seulement si, après que le mur soit “refait” des défauts de cette tenture persistent (comme des bajoues ou des ptôses du visage ou du cou) alors c’est qu’il faut aussi agir à ce niveau.
C’est à dire que pour cette patiente, dans notre exemple, des techniques d’injection de “filler” peuvent être effectuées par des dentistes esthéticiens au niveau de la région péri buccale ou par des médecins ou des chirurgien esthétiques pour le reste du visage, au niveau des tissus mous comme le conjonctif et l’épiderme (peau) du visage.
L'INVERSION DU PROCESSUS DE VIEILLISSEMENT DU SOURIRE ET DU VISAGE
PAR L'ASSOCIATION DU RÉHAUSSEMENT DE LA DVO ET DE LA MÉDECINE ANTI-ÂGE
En restaurant l’anatomie les arcades dentaires usées ou détruite par la carie dentaire, on doit restructurer le volume du massif osseux facial et l’esthétique du visage en augmentant la dimension verticale du bas du visage.
Ce travail permet de retrouver la physiologie de la mastication et l’harmonie du sourire et du visage perdue, grâce à des traitements prothétiques, des traitements implantaires et/ou des traitements orthodontiques en éventuel association avec des chirurgies orthognatiques.
Tous ces traitements, éventuellement combinés, corrigent le rapprochement des mâchoires et donc participe au rajeunissement du visage et de l’expression du sourire.
Ces traitements sont par nature globaux.
C’est à dire qu’ils font intervenir tous les aspects de la chirurgie dentaire ou de la médecine dentaire : comme la pose de facettes céramiques, des couronnes et des bridges céramiques, mais aussi, la pose d’implants dentaires, les greffes osseuses pré-implantaires et les comblements de sinus.
Les couronnes céramiques cosmétiques et/ou des facettes céramiques dentaires et/ou des inlay-onlay sont les outils prothétiques esthétiques de prédilection.
Les greffes osseuses après des extractions dentaires ainsi que la pose d’implants dentaires sont les outils chirurgicaux nécessaires si des dents ont été perdues ou que des extractions ont dû être programmées. Ces préparations et reconstructions des maxillaires sont les prérequis nécessaires à la pose d’implants dentaires dans de bonnes conditions.
L’harmonie et la beauté du visage sont retrouvées.
Le visage sera illuminé par un beau sourire.
La fonte des tissus graisseux
Avec l’âge, la fonte de la graisse qui remplit la peau du visage renforce l’impression de vieillissement.
C’est pour cela que des « filler » comme l’acide hyaluronique sont nécessaires au rajeunissement du visage par un « remplissage » des tissus mous, comme les joues et les lèvres. En particulier pour remplir les zones creusées des joues et de la « vallée des larmes ». Les injections d’acide hyaluronique peuvent être effectuées par les médecins dentistes esthétiques.
La qualité de la peau intervient dans le vieillissement
Les injections de PRP et PRF dans les joues et les lèvres permettent d’améliorer la texture des tissus charnus.
Les PRP et PRF agissent par un relargage de facteurs de croissance et interviennent dans la régénération cellulaire des tissus. Les injections de PRP et PRF peuvent être salutaire pour raffermir et aider à régénérer les tissus du visage et plus particulièrement les joues et les lèvres.
