CAS CLINIQUES pose de couronnes dentaires en céramique
Elles sont idéales pour restaurer la forme, la taille et la force des dents sévèrement endommagées ou décolorées. Nos cas cliniques montrent comment ces couronnes peuvent redonner à vos dents leur beauté et leur fonctionnalité.
initiale
traitement
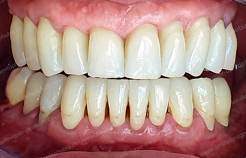
Cas clinique : Traitement de reconstruction bi-maxillaire par des couronnes en céramique.
initiale
traitement
Cas clinique : Traitement de reconstruction bi-maxillaire par des couronnes en céramique.
initiale
traitement
Cas clinique : Traitement de reconstruction d’une dent par une couronne en céramique.
Les couronnes dentaires EN CÉRAMIQUE
Les couronnes dentaires en céramique sont la solution esthétique la plus utilisée pour restaurer les dents délabrées, cassées ou disgraciées. Fixées sur une racine naturelle ou un implant, elles permettent de retrouver un sourire naturel, une mastication normale et une protection durable de la structure dentaire.
Grâce aux technologies numériques (CFAO), chaque couronne est conçue sur mesure, avec une armature en zircone ou métal recouverte de céramique cosmétique, pour un rendu harmonieux et personnalisé. Que ce soit pour réparer une dent abîmée, protéger une dent fragile, remplacer une dent colorée ou rajeunir un sourire, les couronnes en céramique offrent une solution à la fois fonctionnelle et esthétique.
Chaque cas est unique et nécessite une évaluation personnalisée pour adapter la technique et le matériau. Les couronnes en céramique, associées à un suivi rigoureux, offrent une solution longue durée pour un sourire à la fois beau et fonctionnel.
