LES COURONNES DENTAIRES céramo-céramiques
LES COURONNES DENTAIRES EN CÉRAMIQUE
L’esthétique des dents est améliorée
La mastication redevient plus facile
LA COURONNE DENTAIRE PROTHÉTIQUE EN CÉRAMIQUE
C'EST LA SOLUTION ESTHÉTIQUE LA PLUS UTILISÉE.
POUR RÉPONDRE AUX PROBLÈMES
DE DÉLABREMENT ET DE DISGRACE DES DENTS
Table des matières
initiale
traitement
La couronne prothétique en céramique est la solution la plus esthétique
La couronne dentaire en céramique est une prothèse dentaire qui se fixe sur la racine dentaire, qu’elle soit naturelle ou artificielle comme un implant dentaire.
L’esthétique des dents du sourire est améliorée. La mastication redevient plus normale et facile.
La couronne en céramique sur métal (couronne céramo-métallique) ou zircone (couronne céramo-céramique) est une technique éprouvée depuis longtemps.
Cela fait d’elle une des solutions esthétiques la plus utilisée.
Le chirurgien-dentiste peut totalement restructurer la morphologie de la couronne naturelle de la dent même si elle est usée, diminuée ou même totalement délabrée.
COMMENT SE DÉROULE LA POSE D’UNE COURONNE DENTAIRE ?
La préparation d’une couronne
Dans un premier temps, on réalise la taille de la dent. Cela consiste en un meulage du reste de la dent.
Il y a deux variantes :
Première variante : la dent n’est pas dévitalisée (on dit vivante ou vitale)
Dans ce cas le plus souvent il faut reconstituer un « moignon » de dent en forme pyramidale tronquée avec une résine composite collée.
Deuxième variante : la dent est dévitalisée (on dit non vivante ou dépulpée ou que le traitement endodontique ou endo-canalaire est réalisée).
Dans ce cas, comme dans le précèdent, il faut reconstituer un « moignon » de dent en forme pyramidale tronquée avec soit
- une résine composite collée
- Une reconstitution en résine composite coulée et collé dans le moignon de la dent le long d’un tenon fibré.
- Un INLAY CORE : c’est à dire un tenon coulé sur mesure de la forme du canal de la dent. Il est fabriqué au laboratoire de prothèse soit :
- En métal précieux ou non précieux coulé ;
- En métal ou zircone usiné en CFAO.
Une fois la dent à couronner mise en forme, deux empreintes des deux arcades dentaires (supérieure et inférieure) sont prises :
- Soit par un matériaux a empreinte classique en silicone
- Soit par une caméra intra buccale numérique 3D
Les empreintes en silicone ou le fichier numérique est envoyé au laboratoire de prothèse dentaire.
Ce dernier va fabriquer l’armature en zircone en utilisant la technologie CFAO (i.e.CAD CAM) en plusieurs étapes :
- Le laboratoire de prothèse réalise le scannage de l’empreinte en silicone de la taille de la dent à couronner, réalisée par le chirurgien-dentiste sur son patient au fauteuil dentaire ;
- Si le dentiste possède une caméra 3D de scannage directement dans la bouche du patient alors cette étape est inutile, car le fichier numérique de l’empreinte est envoyé directement par internet au laboratoire de prothèse ;
- Le laboratoire de prothèse dessine le “design” de l’armature grâce à une modélisation assistée par ordinateur ou CFAO ;
- Le laboratoire de prothèse fabrique l’armature à partir du modèle informatique, dans un plot ou un disque, de zircone grâce à des machines à usiner numériques couplées aux ordinateurs (fraiseuses CFAO ou CAD-CAM).
Puis, une fois que les pièces sont fraisées grâce aux technologies CFAO (i.e. CAD CAM) la céramique cosmétique est montée de façon traditionnelle par le prothésiste.
Comment pose t-on une couronne ?
La technique est exactement la même pour les couronnes céramo-métalliques ou couronnes céramo-céramiques ou couronnes céramiques sur zircone ou couronnes zircone uniquement.
Les couronnes céramo-métalliques sont indiquées sur les dents postérieures, car elles sont très résistantes.
La pose de couronnes dentaires sur les dents naturelles :
Les couronnes cosmétiques en céramique sont habituellement scellées avec un ciment sur la dentition naturelle.
Lorsque les dents du sourire sont abîmées, la solution est la pose de couronnes en céramique cosmétique, c’est à dire des couronnes céramo-céramiques ou couronnes céramiques sur zircone. Cette prothèse dentaire esthétique vient remplacer la couronne naturelle de la dent délabrée (la partie visible de la dent).
La pose de couronnes esthétiques sur les implants :
Si un implant remplace une racine extraite par le passé, alors on parle de couronne sur implant. Les couronnes peuvent être posées sur des implants dentaires pour remplacer les dents manquantes.
Les couronnes cosmétiques en céramique sur des implants sont soit scellées avec un ciment sur le faux moignon (lui-même vissée sur l’implant), soit directement vissées ou transvissées sur les implants (grâce à un système de vis et contre vis).
Notre résultat clinique :
Le remplacement des dents du sourire maxillaire grâce à des couronnes dento-portées esthétiques, d’abord provisoire avec un cosmétique en composite puis définitive avec un cosmétique en céramique. Ici sur la photo.
Avertissement : Même si nous affichons des résultats cliniques satisfaisants sur nos photos de présentation, ils ne peuvent en aucun cas être des promesses de succès similaires concernant votre propre situation clinique. Chaque personne est différente et les cas cliniques uniques
situation initial VS résultat clinique
Découvrez LE FLORILÈGE DE NOS CAS CLINIQUES
Même si votre cas est UNIQUE !
Visualisez NOS cas de RECONSTRUCTION DU SOURIRE AVEC DES COURONNES DENTAIRES
Quand utiliser une couronne dentaire en céramique ?
La couronne dentaire en céramique est utilisée pour répondre aux différents problèmes de délabrement des dents des patients.
Smile designer dispose aujourd’hui de plusieurs techniques de fabrication de couronne en céramique cosmétique avec un gradient dans l’exigence esthétique.
La couronne dentaire en céramique permet de reconstruire la ou les dents mais aussi de protéger la structure radiculaire dentaire et le capital osseux de la mâchoire.
Voici quelques cas pour lesquels la pose d’une couronne est utilisée :
- Rétablir la fonction et l’esthétique d’une dent délabrée (usée, cassée, abimée…)
- Protéger une dent d’une éventuelle fracture
- Remplacer une dent très colorée
- Rajeunir son sourire
L’orthodontie, éventuellement associée aux techniques de chirurgie maxillo-faciale orthognatique, permet de redresser les dents mal positionnées afin de pouvoir poser des couronnes esthétiques dans de bonnes conditions.
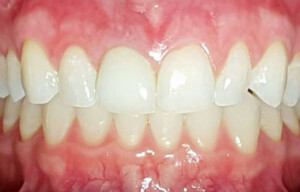
Notre résultat clinique :
Le remplacement d’une dents du sourire maxillaire grâce à une couronne dento-portée esthétique, d’abord provisoire avec un cosmétique en composite puis définitive avec un cosmétique en céramique. Ici sur la photo.
Dans ces images de résultat clinique : remplacement d’une ancienne couronne sur une incisive centrale droites fracturée suite à un choc.
Voir le détail du protocole et des cas cliniques dans les chapitres correspondants.
Avertissement : Même si nous affichons des résultats cliniques satisfaisants sur nos photos de présentation, ils ne peuvent en aucun cas être des promesses de succès similaires concernant votre propre situation clinique. Chaque personne est différente et les cas cliniques uniques
l'ère numerique et les Nouvelles technologies de fabrication:
la Conception et la Fabrication
Assistées par l'Ordinateur ou CFAO
COMMENT EST FABRIQUÉE UNE COURONNE DENTAIRE ?
Nouvelles technologie de fabrication: CFAO Les nouvelles techniques de fabrication d’une couronne prothétique dentaire sont optimisées grâce aux technologies numériques en 3D comme la CFAO ou Conception et Fabrication Assistée par Ordinateur :
Selon les techniques et les différentes labels de céramique les plus récents, il y a deux manières de procéder, en général:
1 – Première variante : la couronne est entièrement fabriquée par la machine à usiner le zircone selon une modélisation réalisée à partir du programme spécifique du laboratoire de prothèse. L’avantage de la zircone est son esthétique : de couleur claire comme une dent avec un gradient de couleur et même un gradient de dureté, elle réalise une dent avec une anatomie (morphologie) parfaite d’une extrême précision.
2 – Deuxième variante : L’esthétique de la couronne céramique est réalisée avec une céramique cosmétique sculptée par le prothésiste sur une armature en zircone préalablement fabriquée en CFAO. Cette armature est le squelette de la couronne. Elle est réalisée à partir d’une modélisation de la forme de la dent (ou des dents) à remplacer et de son squelette.
Cette céramique cosmétique, le plus souvent feldspathique, est sculptée puis cuite sur l’armature de la même façon que pour la fabrication d’une couronne céramique traditionnelle sur armature métal.
L’avantage de la zircone c’est que cette armature (squelette), est de la couleur de la dent. Elle ne marque pas d’une ombre la céramique cosmétique de la couronne, comme le fait le métal.
De plus, elle présente moins de soucis techniques lorsqu’on la retouche, car elle s’oxyde peu lors de son passage au four.
NOUS RÉPONDONS À VOS QUESTIONS
sur les couronnes dentaires
Notre médecin-dentiste répond à vos questions les plus fréquemment posées. Si votre cas clinique n’est pas mentionné, veuillez le contacter pour une consultation.
Quel est le prix d’une couronne dentaire?
Le prix d’une couronne dentaire varie selon le type et le matériau choisi ; la localisation ; le nombre de dents à couronner. Le tarif se situe dans une fourchette de 500 à 1700 euros selon la difficulté technique et l’exigence esthétique du patient.
Avant toute prise de décision, le cabinet du Dr vous remettra, suite au diagnostic, un plan de traitement adossé à une entente financière (devis).
Existe-t-il des contre-indications à la pose de couronnes dentaires?
Les maladies parodontales non traitées (parodontite, gingivite) sont une contre indication relative à la pose de couronnes. Le traitement et la stabilité de ces pathologies parodontales est le prérequis avant la phase prothétique.
Le bruxisme est une contre indication relative à la pose de couronnes. Ou plutôt certaines couronnes fragiles devront être protégées par le port d’une gouttière (essentiellement la nuit) afin de limiter le risque de casse ou usure anormale de la céramique.
Est-ce que les couronnes jaunissent et est-il possible de les blanchir?
Les couronnes en céramique vont légèrement foncer dans les mois qui suivent leur pose. Ce phénomène est normal et la conséquence de l ‘hydratation du matériau dans la salive.
Des patients fumeurs, en particulier le cigare, vont légèrement foncer la teinte des céramiques dans les 6 premiers mois. Puis la teinte va se stabiliser. Il est préférable d’anticiper ce phénomène en choisissant une teinte un peu plus claire.
En revanche, il est impossible de « blanchir » ou éclaircir les couronnes céramo-métalliques ou couronnes céramo-céramiques ou couronnes céramiques sur zircone ou couronnes zircone.
C’est pour cela qu’il est préférable de réaliser un blanchiment des dents avant la pose des couronnes céramique sur les dents du sourire pour bénéficier d’une teinte le plus claire possible. Apres la pose des couronnes céramo-métalliques ou couronnes céramo-céramiques ou couronnes céramiques sur zircone ou couronnes zircon, il sera trop tard.
Quelle est la durée de vie d’une couronne dentaire?
Les couronnes céramo-métalliques ou couronnes céramo-céramiques ou couronnes céramiques sur zircone ou couronnes zircone sont fabriqués dans des matériaux qui nous survivrons et même au delà pendant plusieurs siècles.
C’est le support de la couronne, c’est à dire votre dent qui va vieillir. Ce vieillissement est censé être retardé par la pose d’une couronne de bonne facture.
Mais quelque fois la piètre qualité du travail engendre des problèmes anticipés qui condamnent la dent et sa couronne.
On parle de iatrogénicité ou soins iatrogènes.
