Notre solution de pose d'implants MAXILLAIRE EN MCI
IMPLANTOLOGIE EN MISE EN CHARGE IMMÉDIATE
NOTRE PROTOCOLE DE POSE D'IMPLANTS À LA MACHOIRE supérieure
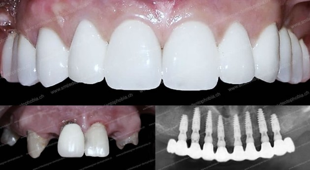
LA RÉHABILITATION DE VOTRE SOURIRE AVEC LE REMPLACEMENT DE TOUTES VOS DENTS AU MAXILLAIRE PAR UN BRIDGE IMPLANTO-porté en une seule intervention chirurgicale sous anesthésie générale
Table des matières
initiale
traitement
QUELS SONT LES PRINCIPES CHIRURGICAUX FONDAMENTAUX À PRENDRE EN COMPTE ?
Si votre cas clinique permet de faire une extraction implantation avec mise en charge immédiate, les deux points opératoires fondamentaux à prendre en compte, sont :
- Les dents doivent extraites au moment de la pose des implants pour minimiser la résorption osseuse alvéolaire post extractionnelle physiologique et inéluctable.
En effet, le point déterminant de notre protocole est de poser les implants dans un os natif au moment de l’extraction des dents pour préserver une hauteur et une largeur suffisante du muret osseux (os alvéolaire) nécessaire à la pose des implants.
Il faut comprendre que l’os alvéolaire commence immédiatement sa résorption physiologique au moment de l’extraction des dents.
- Les greffes osseuses d’apposition doivent faites dans le même temps opératoire, à partir d’os de banque, soit allogène (humain) soit (et/ou) xénogène (animal) enrichies en facteurs de croissance tissulaire autologues par l’adjonction de membrane de PRF.
Sur le principe, il s’agit de réaliser exactement la même intervention qu’au maxillaire inférieur (mandibule). Donc, les coûts sont rigoureusement identiques, sauf en cas de chirurgie additionnelle comme par exemple et classiquement un ou deux sinus lift.
Toutefois, l’anatomie du maxillaire supérieur pose des problèmes spécifiques qui viennent éventuellement s’ajouter et complexifier la pose d’implants dans cette zone et le schéma opératoire présenté jusqu’ici.
QUELLES SONT LES TROIS GRANDES DIFFICULTÉS TECHNIQUES À SURMONTER POUR VISSER UN BRIDGE COMPLET IMPLANTO-PORTÉ ?
Première difficulté
C’est le degré de résorption verticale et horizontale initiale du mur osseux palatin dans la région antérieure où les implants doivent être logés.
Le principe directeur de nos techniques chirurgicales est que le mur osseux alvéolaire doit être suffisant dans les trois dimensions de son volume pour placer des implants.
Pour respecter ce principe, il faut utiliser des techniques opératoires :
- Qui évitent de faire perdre la hauteur d’os alvéolaire nécessaire afin de faire une prothèse à la bonne dimension verticale d’occlusion (DVO) ;
- Qui bloquent la résorption osseuse au maximum en induisant une régénération osseuse selon les principes de la dentisterie régénérative avec la PRF ;
- Qui anticipent la perte osseuse ou corrige celle d’ores et déjà actée en reconstruisant de façon optimum le volume osseux : greffes osseuses.
En conséquence :
- Les dents devront être extraites au moment de l’intervention de pose des implants afin d’éviter toute résorption osseuse désastreuse préalables.
- Des greffes osseuses d’apposition allogéniques et/ou xénogéniques associées au PRF, sur toute la circonférence de l’arcade implantée, seront systématiquement faites, au moment de la pose des implants, pour compenser l’inévitable résorption osseuse physiologique post extractionnelle et les éventuelles lacunes osseuses.
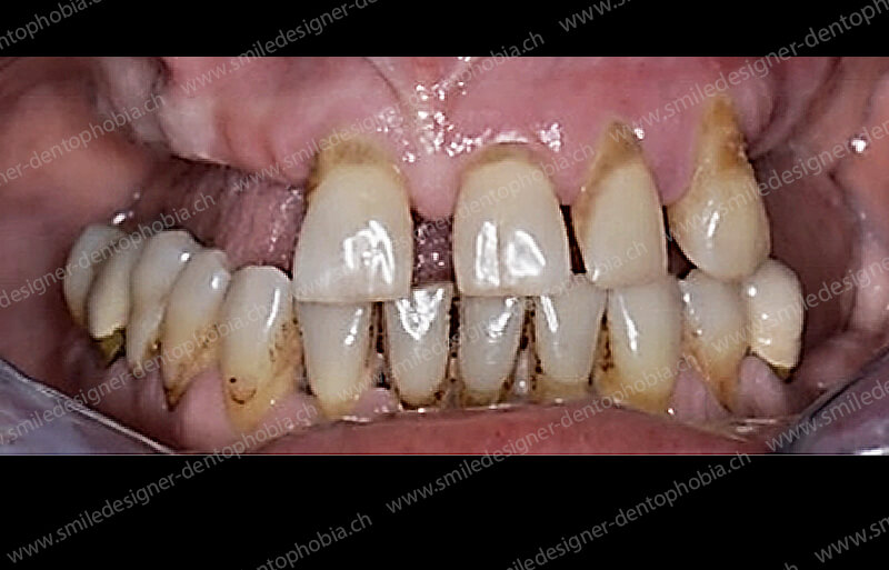
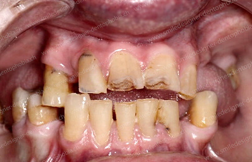
En revanche, si les extractions dentaires ont déjà été faites il y a longtemps, alors le maxillaire est peut-être d’ores et déjà fortement résorbé.
Ou encore, si la maladie parodontale (déchaussement des dents) est ancienne et quasi terminale alors l’os alvéolaire le long des racines a d’ores et déjà été détruit sur la plus grande hauteur des racines dentaires.
Dans ces cas, le résultat esthétique, avec cette impression satisfaisante que les couronnes dentaires en céramique vissées sur les implants « sortent littéralement » de la gencive, sera très difficile à obtenir.
Une fausse gencive (de préférence en cosmétique céramique rose) appliquée sur le pourtour des dents en céramique du bridge implanto-porté, sera quelque fois une obligation esthétique.
Deuxième difficulté
C’est une perte de l’anatomie normale de l’arcade dentaire inférieure antagoniste si les dents sont très délabrées. Dans ce cas l’occlusion inter maxillaire est trop déstructurée pour faire une intervention de pose d’implants en MCI sur le maxillaire.
En effet, pour faire un prothèse implanto-portées en MCI très sophistiquée, il est impératif d’avoir une occlusion idéale entre les deux arcades (supérieure et inférieure).
Il faudra donc :
- Soit, réaliser des travaux de reconstruction de l’arcade mandibulaire antagoniste avec une série de soins sur les dents naturelles. Ils seront définis dans un autre plan de traitement ;
- Soit, optimiser la situation prothétique actuelle avec une prothèse temporaire mandibulaire ;
Ces différentes interventions pour lever ces difficultés seront réalisées en marge de la pose des implants sur l’arcade maxillaire.
- Soit, si l’arcade antagoniste est trop délabrée, réaliser une intervention de MCI sur les deux arcades dans le même temps opératoire.
Troisième difficulté
C’est la présence de sinus maxillaires très pneumatisés (volumineux) au niveau des molaires et prémolaires et une crête alvéolaire (os autour des dents) trop résorbée en dessous de ces sinus,
Les sinus maxillaires sont les cavités aériennes anatomiques au maxillaire supérieur. Ils sont situés au niveau des secteurs postérieurs du maxillaire au dessus des molaires et prémolaires supérieures, à l’intérieur de l’os de la pommette de la joue et en dessous des yeux.
Quelles sont les difficultés :
- Les sinus peuvent être pneumatisés (le volume de la cavité est trop augmenté) au détriment de l’os maxillaire dans lequel les implants sont logés ;
- La crête alvéolaire postérieure sous sinusienne au niveau des molaires et prémolaires peut être très résorbée à la fois verticalement et horizontalement.
Quelles sont les solutions :
- Il sera possible de mettre entre 8 à 10 implants au maxillaire avec 2 implants courts ou mini implants, au niveau des deux zones postérieures (droite et gauche).
Mais uniquement si le plancher du sinus est à quelques millimètres (entre 10 et 8 millimètres) du sommet de la crête osseuses alvéolaire.
En deçà de cette hauteur minimale une décision stratégique doit être prise :
- Soit, pratiquer une greffe d’augmentation osseuse verticale type sinus lift (greffe sous sinusienne),
- Soit, opter pour une implantation uniquement sur la partie antérieure du maxillaire.
QUELLES SOLUTIONS CHIRURGICALES SERONT RÉALISÉES POUR LEVER LES DIFFICULTÉS TECHNIQUES SPÉCIFIQUES LIÉES À L’ANATOMIE DES SINUS DU MAXILLAIRE SUPÉRIEURE AFIN DE POSER DES IMPLANTS EN MCI ?
LA PREMIERE POSSIBILITÉ DE CONFIGURATION CLINIQUE POUR UNE INTERVENTION DE POSE D’IMPLANTS EN MCI SANS NÉCESSITÉ DE PRATIQUER UN SINUS LIFT
Les techniques de chirurgie orale permettent de lever les contre indications du protocole de pose d’implants en MCI au maxillaire :
- Première configuration clinique dans une intervention de pose d’implants en MCI : La résorption osseuse verticale et horizontale des murs osseux antérieur ET postérieur n’est pas trop importante.
- Donc, le volume osseux est suffisant pour la pose d’implants antérieurs ET également postérieurs SANS greffe osseuse intra-sinusiennes (comblement de sinus ou sinus lift).
Dans ce cas, la pose des implants dans les secteurs postérieurs est réalisable, tout autant que dans le secteur antérieur. C’est certainement l’option idéale car la plus favorable !
Dans cette configuration, il sera possible de poser jusqu’à 8 à 10 implants sur toute l’arcade dentaire, y compris dans les zones molaires : C’est la technique du All on 8 ou All on 10.
Cette situation correspond dans notre protocole la « Gold Standard » avec MCI.
Un bridge résilient en composite All on 8 ou All on 10 en mise en charge immédiate sera vissé sur les implants quelques jours après la chirurgie implantaire
Nous appelons ce bridge transvissé sur les implants : « bridge complet résilient de mise en charge immédiate des implants » ou Resilient implant-support Full Arch Bridge with Immediate Loading – RIFA Bridge with IL –
Quelles ont les particularités de ce bridge RIFA transvissé implanto-porté :
- L’armature métallique CFAO est habillée avec un cosmétique esthétique en composite.
- Il présente deux molaires aux extrémités postérieures droite et gauche sont supportées par des implants postérieurs.
- Le bridge possède 10 à 12 dents toutes supportées par 8 à 10 implants postérieurs SANS extensions terminales postérieures en porte à faux.
C’est-à-dire que ce bridge inclut la première molaire droite et gauche avec deux appuis implantaires aux extrémités postérieurs du bridge.
C’est dans notre classification le principe du « Gold Standard » avec MCI.
Il existe une variante de cette première configuration clinique
Quelque fois la situation clinique suivante se présente :
La résorption osseuse verticale et horizontale des murs osseux, antérieur et postérieur, n’est pas suffisamment importante pour empêcher la pose d’implants antérieurs et postérieurs.
MAIS, en revanche, elle est suffisamment importante dans les secteurs postérieurs pour indiquer de pratiquer des greffes osseuses de type « sinus lift » afin de poser les implants postérieurs de longueurs suffisantes.
Cette configuration clinique est classique lorsqu’il y a des résorptions osseuses importantes à la suite d’extractions dans les secteurs postérieurs molaires et prémolaires.
Dans ce cas le volume osseux nécessaire est suffisant pour « bloquer » des implants dans l’os (fixation primaire) MAIS insuffisant pour poser des implants de bonne dimension pour la fixation solide d’un bridge complet (Full arch.) en MCI.
La solution est de faire un ou deux greffes osseuses et/ou de PRF pour combler le sinus (sinus lift droit et/ou gauche) en même temps que l’intervention de pose des implants postérieurs.
Les implants posés pourront être mis en charge immédiatement à condition qu’ils aient une fixation primaire suffisante de 35 newtons de torque. Sinon ils seront mis en nourrice en attendant leur ostéo-intrégration et seront mis en charge plus tard au moment de la pose du bridge implants-porté définitif.
Quels sont les Honoraires pour la MCI dans le cas de cette variante du premier cas de figure
Pour réaliser les extractions ainsi que la pose des implants et la pose du bridge résilient MCI au maxillaire, le protocole est exactement le même qu’à la mandibule.
Les honoraires sont identiques pour l’ensemble des interventions avec la prothèse résiliente en mise en charge immédiate.
Au maxillaire, s’il est nécessaire de pratiquerl un ou deux sinus lift (selon le cas) les honoraires ne sont pas inclus dans le forfait opératoire précèdent car ce sont des interventions distinctes à celle de la pose d’implants avec MCI :
C’est en général un forfait opératoire pour chaque côté.
Les honoraires chirurgicaux n’incluent pas les honoraires du bloc opératoire ni ceux de l’anesthésiste.
LA DEUXIÈME POSSIBILITÉ DE CONFIGURATION CLINIQUE DANS UNE INTERVENTION DE POSE D’IMPLANTS EN MCI
Dans le cas clinique suivants, un ou les deux sinus maxillaires sont trop pneumatisés et l’os alvéolaire molaire et prémolaire sous sinusien est trop résorbé pour la pose d’implants dans cette zone postérieure.
MAIS la résorption du mur osseux antérieur n’est pas trop importante. Donc la pose d’implants dans la zone antérieure, uniquement, est possible.
Si la zone antérieure (incisives, des canines, des premières et deuxièmes prémolaires) n’est pas trop résorbée verticalement alors 6 à 8 implants peuvent être posés, en générale jusqu’au niveau des premières ou deuxièmes prémolaires :
Cette technique correspond dans notre classification au protocole « Gold Damage Control MCI » ou « Damage Control MCI »
Dans cette configuration, un « bridge complet résilient de mise en charge immédiate des implants » sera vissé sur les implants quelques jours après la chirurgie implantaire.
Les particularités de ce RIFA bridge transvissé implanto-porté sont les suivantes dans ce cas de figure clinique :
L’armature métallique CFAO et son habillage cosmétique esthétique en composite présente deux prémolaires dans le « Damage Control MCI » ou deux molaires dans la « Gold Damage Control MCI » aux extrémités postérieures droite et gauche.
Ces extensions ne sont pas supportées par des implants: Le bridge possède 10 à 12 dents supportées par 6 à 8 implants postérieurs AVEC deux extensions au niveau prémolaires et/ou molaires en porte à faux. C’est à dire non supportées par un implant.
C’est-à-dire que ce bridge sur implants inclut une double extension postérieure jusqu’à la première molaire droite et gauche au maximum. Il possède donc cinq à six dents à droite et gauche.
Contrairement aux deux précédentes versions, celles-ci seront réalisées en extension aux extrémités du bridge SANS appui implantaire et donc avec un porte-à-faux. Ce porte-à-faux, s’il ne dépasse pas 12 mm, ne pose pas de problème.
En revanche, la capacité de mastication est plus réduite.
Quels sont les avantages de ces protocoles :
– Le « Gold Damage Control MCI » exonère définitivement de faire des greffes osseuses de comblement dans les sinus (sinus lift).
C’est le même protocole de pose d’implants en MCI que le bridge « Gold Standard MCI » de molaire à molaire précédent, mais sans avoir à pratiquer une greffe osseuse de comblement de sinus à droite ou à gauche.
– Le « Damage Control MCI » exonère provisoirement de faire des greffes osseuses de comblement dans les sinus (sinus lift).
Il permet une resocialisation du patient en une semaine par le remplacement de ses dents antérieures en attendant que des sinus lift soient nécessairement pratiqués.
Une fois les masses osseuses des secteurs postérieurs reconstruites grâce aux sinus lift, la pose des implants dans ces secteurs postérieurs sera pratiquée.
Puis le bridge résilient sera rallongé dans les secteurs postérieurs avec la mise en charge des derniers implants postérieurs posés jusqu’aux molaires, pour revenir au concept du « Gold Standard MCI ».
Dans cette dernière configuration de cas clinique, il y a deux variantes possibles que le patient doit choisir
- Première variante : Soit le patient décide que l’option des extensions prémolaires ou molaires lui convient. Dans ce cas, il s’exonère de toute intervention chirurgicale supplémentaire sur les secteurs postérieurs. Il décide de rester dans une situation de All on 6 ou 8 avec dans le meilleur des cas les premières molaires en extension : « Gold Damage Control MCI ». La situation minimale est une extension limitée aux prémolaires : « Damage Control MCI ».
- Deuxième variante : Soit à l’inverse, il décide de faire des greffes type sinus lift qui rendent possible l’option d’un bridge All on 8 ou 10 avec des molaires soutenues par des implants en postérieur. La pose des implants postérieures est rendu possible grâce aux sinus lift. I peut ainsi revenir à la première situation avec un bridge All in 8 ou 10 et les secteurs molaires soutenus en postérieur par des implants : « Gold Standard MCI ».
Il y a plusieurs facteurs qui indiquent de faire un appui postérieur étendu et solide :
L’INDICATION MAJEURE : L’indication la plus important est que le bridge antérieur est totalement insuffisant pour permettre une bonne mastication et un sourire car il s’arrête aux canines ou au maximum aux premières prémolaires.
LES INDICATIONS SECONDAIRES : Les autres indications sont à prendre en compte lorsque le bridge possède un appui jusqu’aux prémolaires avec éventuellement une extension qui ne dépasse pas les premières molaires.
Le patient considère en accord avec le praticien :
- son jeune âge ;
- et/ou son fort gabarit ;
- et/ou sa demande de confort de mastication ;
- et/ou une fragilité au niveau des articulations temporo mandibulaire (ATM) craquements, acouphènes, ouverture buccales limité par une luxation du ménisque de l’ATM.
Pour lever cette difficulté on réalise préalablement ou postérieurement à l’intervention de MCI des greffes osseuses dans le sinus (appelé sinus lift) pour pouvoir implanter au niveau des secteurs postérieurs.
Première variante d’indication de sinus lift
Si le cas le permet, il est préférable de pratiquer les greffes osseuses par sinus lift AVANT la pose des implants en gardant les dents antérieures résiduelles le temps de la cicatrisation.
Puis une fois les sinus lift cicatrisés, après 4 mois, le reste des dents antérieures est extrait et tous les implants sont posés en même temps pour faire un All on 10 : « Gold Standard MCI ».
Deuxième variante d’indication de sinus lift
Si les dents antérieures ne tiennent plus parce qu’elles sont :
- Trop délabrées par la carie ;
- Les couronnes ou bridge sont cassées ;
- Infectées par une parodontopathie au stade avancée.
Alors il est préférable d’extraire toutes les dents résiduelles et implanter le secteur antérieur en urgence pour fixer un premier bridge résilient en MCI afin de resocialiser le patient en moins d’une semaine.
Puis AU PLUS TOT, après la pose du bridge en MCI, les « sinus lift » seront réalisés. Quatre mois de cicatrisation osseuse plus tard, deux à trois implants postérieurs seront posés pour reconstruire les extrémités de l’arcade dentaire.
Dans ce cas, il est d’usage que ces derniers implants soient mis en charge au moment de la pose du bridge définitif avec un cosmétique en céramique, en même temps que tous les autres implants.
Honoraires et consentement : Dans le cas où le patient est une indication de sinus lift
Le patient doit donner son consentement éclairé, c’est-à-dire l’autorisation de pratiquer cet acte dont il a mesuré la pertinence.
Le sinus lift concerne le remplacement des secteurs latéraux postérieurs gauche et droit : c’est-à-dire les prémolaires et les molaires à droite et/ou les prémolaires et les molaires à gauche.
Les honoraires pour des éventuels greffes de comblement osseux sinusien type sinus lift ne sont pas inclus dans le forfait opératoire MCI car c’est une intervention distincte et/ou prérequise à celle de la pose d’implants avec MCI.
C’est un forfait pour l’acte et toutes les consultations corollaires pour chaque côté (non remboursable en cas d’abandon du protocole de votre fait en cours de route).
Si l’état général du patient le permet nous pouvons pratiquer les interventions de sinus lift au sein du cabinet dentaire qui est équipé pour satisfaire aux exigences de sécurité et d’asepsie avec un médecin anesthésiste.
Il faudra répéter l’intervention de sinus lift pour les deux côtés si la résorption est bilatérale.
Il est possible mais délicat de faire les 2 côtés en même temps, surtout pour une personne âgée. Il faut en débattre avec l’anesthésiste. Mais in fine c’est le déroulement du cas clinique en per opératoire qui valide le choix.
Honoraires pour la MCI AVEC SINUS LIFT :
Pour réaliser les extractions ainsi que la pose des implants et la pose de l’appareil MCI du haut le protocole est exactement le même en haut et en bas.
Le montant du forfait MCI inclu l’ensemble des interventions et la prothèse résiliente en mise en charge immédiate.
Cette somme n’inclue pas le bloc opératoire et l’anesthésiste.
En revanche, les honoraires pour un éventuel le sinus lift ne sont pas non plus inclus dans le forfait opératoir MCI car ce sont des interventions distinctes et/ou prérequises à celle de la pose d’implants avec MCI.
Ces honoraires sont non remboursables une fois l’intervention pratiquée en cas d’abandon du protocole, de votre fait, en cours de route.
le film d'une greffe osseuse intra sinusienne ou "sinus lift"
Protocole de comblement des sinus droit et gauche permettant la pose de 8 implants au maxillaire
Avertissement : cette vidéo contient des images d’interventions chirurgicales qui peuvent heurter la sensibilité de certaines personnes.
La problématique de la résorption osseuse postérieur et de l’indication des greffes osseuses supplémentaires type "sinus lift"
Première solution :
le CHOIX du patient est de ne PAS faire de SINUS LIFT
le CHOIX du patient est de ne PAS faire de SINUS LIFT
L’INTERVENTION DE POSE D’UN BRIDGE IMPLANTO-PORTÉ EN MCI DANS LE CAS OÙ LA RÉSORPTION OSSEUSE VERTICALE ET HORIZONTALE DU MUR POSTÉRIEUR REND IMPOSSIBLE LA POSE D’IMPLANTS DANS CETTE ZONE.
MAIS LA RÉSORPTION ANTÉRIEURE N’EST PAS TROP IMPORTANTE ET PERMET LA POSE D’UN PREMIER BRIDGE EN MCI ANTÉRIEUR SELON NOTRE PROTOCOLE « GOLD DAMAGE CONTROL ».
Nous recommandons de poser un bridge résilient MCI All on 6 ou All on 8 dans la zone antérieure avec des extensions prémolaires ou molaires aux extrémités postérieures.
Cette solution permet de resocialiser le patient immédiatement, en moins d’une semaine :
En effet, souvent le patient perd ses dents et/ou la prothèse antérieure supportée par des dents déchaussées et/ou infectées.
Il est donc urgent de remplacer ses dents antérieures pour des raisons esthétiques et de désocialisation en marge des problèmes de mastication et d’alimentation.
Si le patient est satisfait de cette solution le bridge MCI est posé et nous en restons là !
Sauf pour le remplacer éventuellement par un bridge avec une cosmétique en céramique.
Honoraires pour la MCI SANS sinus lift :
Pour réaliser les extractions ainsi que la pose des implants et la pose de l’appareil MCI du haut le protocole est exactement le même que précédemment.
Le forfait est décidé pour l’ensemble des interventions et la prothèse implanto-portée résiliente en mise en charge immédiate.
Cette somme n’inclue pas le bloc opératoire et l’anesthésiste.
Cette variante exonère des honoraires concernant les sinus lift préalables ainsi que ceux de l’anesthésiste et les éventuels frais de bloc opératoire pour ces interventions supplémentaires.
Deuxième solution :
LE CHOIX DU PATIENT EST DE FAIRE DES SINUS LIFT
LE CHOIX DU PATIENT EST DE FAIRE DES SINUS LIFT
L’INTERVENTION DE POSE D’UN BRIDGE IMPLANTO-PORTÉ EN MCI DANS LE CAS OÙ LA RÉSORPTION OSSEUSE VERTICALE ET HORIZONTALE DU MUR POSTÉRIEUR REND IMPOSSIBLE LA POSE D’IMPLANTS DANS CETTE ZONE.
MAIS LA RÉSORPTION ANTÉRIEURE N’EST PAS TROP IMPORTANTE ET PERMET LA POSE D’UN PREMIER BRIDGE EN MCI ANTÉRIEUR SELON NOTRE PROTOCOLE « DAMAGE CONTROL ».
Dans ce cas, le patient décide de faire un bridge MCI définitif de plus grande étendu dans les secteurs postérieurs molaires.
Nous recommandons de poser un bridge résilien MCI All on 6 ou All on 8 dans la zone antérieure avec des extensions prémolaires aux extrémités postérieures.
Cette solution permet de resocialiser le patient immédiatement, en moins d’une semaine :
En effet, souvent le patient perd ses dents et/ou la prothèse antérieure supportée par des dents déchaussées et/ou infectées.
Il est donc urgent de remplacer ses dents antérieures pour des raisons esthétiques et de désocialisation en marge des problèmes de mastication et d’alimentation.
La stratégie est la suivante : après que ce premier bridge en MCI transvissé sur implants soit posé et durant la période d’ostéo-intégration des implants entre 4 et 6 mois, alors nous pouvons réaliser des greffes osseuses sous sinusiennes (sinus lift).
Le but est d’attendre tranquillement la cicatrisation des sinus lift. Puis de rajouter des implants postérieurs. Et ensuite, 4 mois plus tard, poser un bridge implanto-porté plus étendue postérieurement comme dans le premier cas de figure du All on 10
Dans ce cas, au moment de la mise en charge des implants, on pourra passer directement au bridge implantoporté avec un cosmétique en céramique décrit plus haut.
Troisième solution :
les GREFFES OSSEUSES et les implants zygomatiques
les GREFFES OSSEUSES et les implants zygomatiques
L’INTERVENTION POUR LA POSE D’UN BRIDGE IMPLANTO-PORTÉ EN MCI DANS LE CAS OÙ LES DEUX SINUS MAXILLAIRES SONT TROP PNEUMATISÉS ET L’OS ALVÉOLAIRE POSTÉRIEUR SOUS SINUSIEN TROP RÉSORBÉ POUR LA POSE D’IMPLANTS.
MAIS ÉGALEMENT LA RÉSORPTION DU MUR OSSEUX ANTÉRIEUR EST TROP IMPORTANTE POUR POUVOIR POSER DES IMPLANTS.
Ce cas de figure est le plus complexe car il est a priori impossible de poser des implants en MCI de prime abord !
Il faut préalablement à la pose des implants pratiquer des greffes osseuses. En particulier, des sinus lift et quelques fois pas uniquement, pour lever les impossibilités implantaires.
En fonction du résultat des greffes nous revenons aux situations des deux premiers cas de figure.
Dans ce cas, une liste des interventions nécessaires vous sera remise avec un devis correspondant.
Dans cette situation clinique, la question de l’indication des implants zygomatique se pose.
Voir ici les explications de ce protocole dans le chapitre correspondant : implants zygomatiques.
LA POSE D’UN BRIDGE IMPLANTO-PORTÉ EN MCI ALL ON 6 OU ALL ON 8:
DANS QUELLE SITUATION CLINIQUE EST-CE POSSIBLE ?
Si la résorption osseuse verticale et horizontale des murs osseux antérieurs ET postérieurs n’est pas trop importante, ou bien compensée par des greffes osseuses, alors le volume osseux est suffisant pour la pose d’un nombre suffisant d’implants jusqu’au régions prémolaires.
Dans ce cas, la pose des implants dans les secteurs postérieurs jusqu’au régions prémolaires est réalisable tout autant que dans le secteur antérieur.
Dans cette configuration, il sera possible de réaliser un bridge implanto-porté transvissé sur 6 à 8 implants et deux extensions postérieures de molaire à molaire.
Cette technique correspond dans notre classification au protocole « Gold Damage Control MCI » avec la technique du All on 8 ou All on 10.
C’est une option simple car elle exonère le patient de faire des sinus lift.
LE BRIDGE RÉSILIENT IMPLANTOPORTÉ SERA MIS EN CHARGE IMMÉDIATEMENT SUR LES IMPLANTS QUELQUES JOURS APRÈS LA CHIRURGIE IMPLANTAIRE
Nous appelons le bridge transvissé sur les implants : Le « bridge résilient de mise en charge immédiate des implants »
(Resilient Implant-support Full Arch Bridge with Immediate Loading – RIFA Bridge with IL)
Il est dit « bridge de mise en charge et d’immobilisation des implants » car sa structure squelettique (armature ou poutre centrale) qui englobe toute l’arche implantaire est conçue et fabriquée avec l’aide de l’ordinateur (imprimante laser 3D pour métal) dans un alliage (titane ou chrome cobalt) suffisamment ductile pour absorber les chocs et suffisamment rigide sans se rompre pour qu’une fois vissé sur les implants, il garantisse leur immobilité avec une tolérance inférieure à 200 microns, afin d’éviter des micro-mouvements mortifères pour l’ostéo-intégration (cicatrisation de l’os sur les implants).
Cette armature est habillée avec un cosmétique résilient grâce aux qualités physiques du matériau hybride de la famille du composite, réalisée également grâce à la CFAO. De plus, composite plus connue sous son nom commercial le « plexiglass » est trés esthétique et lumineux.
Le composite assure une résilience à l’ensemble du bridge, en absorbant l’énergie des chocs de la mastication pour protéger les implants en cours de cicatrisation (ostéointégration).
- Ce bridge résilient transvissé sur les implants solutionne le dilemme d’une mise en charge immédiate à la fois très rigide et « tendre ».
- Ce bridge résilient protège les implants des micromouvements de plus de 200 microns et des chocs qui cause une désostéo-intégration et un échec de cicatrisation.
- En même temps, ce bridge résilient assure une très jolie esthétique grâce aux qualités esthétiques du matériau hybride.
- Le bridge résilient sera transvissée à 2 à 7 jours post-opératoires : c’est le temps de réalisation par le laboratoire de prothèse d’un bridge sur mesure semi définitif.
- Ce bridge résilient sera laissé en place pour une durée minimale de 6 à 12 mois de cicatrisation et de maturation des tissus durs (os alvéolaire maxillaire) et également mous (gencive et muqueuse buccale).
- Ce bridge résilient est différent d’un « bridge provisoire » ou « transitoire » traditionnel en résine. En effet, sa structure squelettique est fabriquée exactement de la même façon qu’un bridge définitif en céramique. Cela n’est pas le cas des structures squelettiques des « bridges provisoires » traditionnels en résine ou même armées avec un arc métallique (soudées en per-opératoire).
- Ce bridge résilient est différent d’un « bridge provisoire » ou « transitoire » réalisé en amont de la pose des implants à la suite d’une planification chirurgical sur un logiciel de simulation implantaire type « All on 4 » ou « All on 6 ». En effet, l’empreinte réalisée extemporanément durant l’intervention permet de fabriquer une exacte réplique de l’arcade dentaire et du sourire idéalement imaginé une fois la pose des implants réalisé. Ce protocole permet une adaptation du chirurgien à une complication chirurgicale découverte en per opératoire. Comme l’empreinte de positionnement des implants est effectuée en per opératoire il n’y pas de difficulté à adapter la structure squelettique du bridge résilient en MCI à toutes les configuration. Un protocole avec une technique de planification préopératoire et/ou de navigation implantaire est par nature figée et difficilement modifiable en cours d’intervention même si la situation clinique per opératoire le commande.
Les techniques de planification préopératoire implantaire ou la navigation per opératoire implantaire
Chez Smile Designer, nos médecins dentistes implantologues préfèrent actuellement le protocole de pose d’implants en mise en charge immédiate que nous décrivons dans ces pages, nous ne sommes pas, pour autant, étranger aux protocoles de planification implantaire pré-opératoire.
Vous avez dans le lien suivant une série de films, consacrée à un système de navigation chirurgical digitalisé.
C’est un système de robotique informatisé qui permet, suite à l’acquisition d’un scanner et une planification informatique la pose des implants, de réaliser cette intervention avec un guide chirurgical digitalisé. Un radar guide la main du chirurgien sur l’écran d’ordinateur. Cela permet de vérifier que la position et l’axe des implants est bien conforme à la planification pré-opératoire. Même si cet outil est tout à fait intéressant (surtout pour l’époque car c’est une technique ancienne) l’habitude et l’expérience de nombreux protocoles ont amené à conclure nos chirurgiens à préférer la méthode que nous décrivons.
Bien évidemment cet avis n’engage que notre pratique. Certains confrères talentueux sont beaucoup plus confortables avec ce type d’assistance.
Pour autant, même si nous nous exonérons désormais d’un outil de guidage per-opératoire comme des guides implantaires physiques ou digitalisés, toutes nos interventions sont dûment planifiées sur un ordinateur grâce à des logiciels de planification implantaire :
Le reproche principale que nous faisons aux guides implantaires physiques ou digitaux est une difficulté à s’adapter immédiatement en per-opératoire à tous les aléas qui ne sont pas repérables sur le scanner. Cette « adaptation » immédiate et instinctive au cours d’un chirurgie est dans la nature du chirurgien. Mais elle est technico-dépendantre en fonction de l’expérience et de la formation de l’opérateur.
Car comme l’adage dans le milieu de l’implantologie le dit : « on n’opère pas un scanner »! Même si cet examen est totalement indispensable.
la navigation chirurgicale digitalisée avec le système ROBODENT
les techniques de planification préopératoire et de navigation implantaire
Avertissement : cette vidéo contient des images d’interventions chirurgicales qui peuvent heurter la sensibilité de certaines personnes.
APRÈS LA CICATRISATION des implants NOUS VOUS DONNONS DU TEMPS POUR REMPLACER LE BRIDGE RÉSILIENT PAR UN BRIDGE DÉFINITIF IMPLANTO-PORTÉ EN CÉRAMIQUE
Notre axe philosophique professionnel nous oblige à concevoir notre métier de la manière la plus déontologique et éthique possible : c'est pour cela que nous essayons de donner l'accès à notre protocole au plus grand nombre d'entre vous.
En décidant de faire cette réhabilitation de votre bouche et de votre sourire, vous avez commencé une nouvelle tranche de vie. Cette intervention est importante à tous points de vue. Nous sommes tous conscients qu’elle va déterminer un « avant » et un « après ». La charge est multiple à la fois physique, émotionnelle mais également financière. Il est fréquent que des patient soient dans une situation de détresse dentaire mais également financière. Dans cette situation le patient a besoin d’être reconstruit rapidement avec un bridge relient en composite implantoporté en mise en charge immédiate. Mais il ne peut peut-être pas supporter dans un laps de temps réduit à quelque mois la charge financière d’un bridge définitif avec un cosmétique en céramique.
Grâce à notre protocole MCI nous arrivons à, à la fois, compacter les soins pour vous redonner un sourire dans un laps de temps extrêmement court et également vous inscrire dans la durée.
Nous sommes parfaitement conscient également que nous sommes porteurs d’espoir pour une grande partie de la population qui sont dans une situation soit d’ores et déjà dramatique soit au bord du gouffre avec une denture qui si elle se dégrade encore plus ou si elle n’est pas restaurée rapidement fera basculer les personnes dans un vieillissement précoce et un handicap à la fois en terme de confort de mastication, d’alimentation saine et de gustation et bien évidemment de rapports sociaux professionnels et affectifs.
Or, les coûts de ce type d’intervention sont limitants pour une bonne partie de la population. Nous avons donc réfléchi à des solutions pour donner au plus grand nombre l’accès à notre protocole et ne pas briser les espoirs d’une partie du public en attente de solutions médicales pour résoudre ce type de problème.
Une fois de plus nous sommes confronté à un dilemme !
C’est-à-dire comment devoir choisir entre deux propositions contradictoires, toutes deux insatisfaisantes. Comment résoudre le dilemme de l’accessibilité financière à un protocole extrêmement sophistiqué et couteux sans en diminuer la qualité ?
Il n’y a pas d’autre alternative que de poser un bridge sur les implants qui soit de très grande qualité. Comme nous utilisons des techniques extrêmement sophistiquées, elles sont naturellement coûteuses. La formation d’un chirurgien pour maitriser toutes les aspects techniques de ce protocole multidisciplinaire est également très long et couteux.
Nous avons résolu ce dilemme en divisant notre protocole de pose d’implant en MCI en deux grandes étapes :
- D’une part, la pose en première intention d’un bridge résiliant implanto-porté avec un cosmétique en composite ;
- D’autre par, en deuxième intention, la pose d’un bridge avec un cosmétique en céramique.
Nous vous donnons du temps pour choisir d’optimiser votre sourire avec des techniques de plus en plus sophistiquées tant sur le plan esthétique que fonctionnel comme le bridge définitif en céramique :
- L’option de référence est d’opter pour un remplacement du bridge résilient implanto-porté par sa copie avec un cosmétique en céramique au bout de huit à douze mois de maturation tissulaire. Ce bridge définitif en céramique est plus esthétique, plus biocompatible et plus pérenne dans le temps
- Une option alternative, en cas de difficultés ou de choix personnel, est de garder ce bridge résilient implantoporté avec son cosmétique en matériau hybride encore plusieurs mois voir plusieurs années. Comme les matériaux utilisés pour la fabrication du bridge résilient implanto-porté sont de bonne qualité cette option est possible en théorie. Cette théorie devra être confronté aux exigences cliniques et aux problèmes ou aléas qui seront peut-être survenu pendant les temps de cicatrisation. Ce bridge résilient pourra être éventuellement rénovée, si besoin.
Grâce à des nouvelles technologies CFAO et des nouveaux matériaux comme le composite notre laboratoire peut fabriquer en quelques jours un bridge résiliant de bon niveau à la fois mécanique et esthétique.
Ce bridge implanto-porté avec un cosmétique en composite doit être nécessairement porté pendant plusieurs mois le temps de la phase cicatriciel des implants.
Au bout de cinq à six mois les implants sont ostéointégrés dans l’os des maxillaires. Il peut être dévissé pour être apporté au laboratoire de prothèse dentaire afin d’y être modifié et corrigé en fonction des paramètres occlusaux du patient mais aussi amélioré esthétiquement.
Bien évidemment, il peut être également rénové, réparé beaucoup plus facilement qu’une version céramique sil est conservé plus longtemps que nécessaire selon le souhait du patient. En générale, ce bridge est conservé tel quel au delà du temps nécessaire à la cicatisation pour des raisons essentiellement économiques.
La version définitive du bridge, avec un cosmétique céramique, est aboutissement de notre protocole de MCI.
La maturation des tissus mous et durs autour du premier bridge résilient s’achève au bout d’une dizaine de mois. C’est pourquoi le deuxième bridge implanto-porté en céramique permet de corriger les éventuelles résorptions osseuses dues à la maturation des tissus mous et durs pour une ESTHÉTIQUE et une MASTICATION encore plus affinée.
Au bout de cette période de 6 à 12 mois les implants sont ostéo-intégrés. Il n’est plus obligatoire de mettre en charge les implants avec un bridge transvissé dit « résilient ». Les implants peuvent absorber l’énergie des chocs durs, générés par la morsure et la mastication sur la céramique qui est un matériau non résilient et non ductile.
Arrivé à ce stade du protocole de mise en charge, il est donc possible de remplacer le bridge transvissé résilient par un autre bridge transvissé céramique beaucoup plus sophistiqué et exigeant en matière de morsure et d’esthétique.
Le matériau cosmétique céramique ne peut pas être mis en charge sur les implants en première intention car il est beaucoup trop dur et traumatisant pour des implants qui viennent d’être posés. Il risque de désostéo-intégrer les implants.
Ce deuxième bridge en céramique implanto-porté et transvissé est fabriqué avec le même type d’armature métallique CFAO. Mais, il possède une cosmétique en céramique stratifiée encore plus esthétique et plus coupante et broyante pour une meilleure mastication.
Nous appelons ce bridge céramique de deuxième intention transvissé sur les implants : Le « bridge céramique de mise en charge définitive des implants »
(CIFA Bridge in IL: Ceramic implant-support Full Arch Bridge in Immediate Loading)
La céramique stratifiée permet un parfait mimétisme de l’esthétique du sourire, car ses qualités visuelles sont encore plus proches de celles des dents que le matériau hybride.
De plus, la dureté de la céramique permet une morsure et une mastication beaucoup plus efficace en particulier pour aliment fibreux comme la viande.
